别名:Poly(A) RNA polymerase GLD2, hGLD-2, PAP-associated domain-containing protein 4, Terminal uridylyltransferase 2, TUTase 2, PAPD4, GLD2应用:WB,IHC,ICC
反应种属:Human, Mouse
规格:50μl/100μl
| Description |
|---|
| GLD2 is cytoplasmic poly(A) RNA polymerase that adds successive AMP monomers to the 3′-end of specific RNAs, forming a poly(A) tail. In contrast to the canonical nuclear poly(A) RNA polymerase, it only adds poly(A) to selected cytoplasmic mRNAs. GLD2 does not play a role in replication-dependent histone mRNA degradation. |
| Specification | |
|---|---|
| Aliases | Poly(A) RNA polymerase GLD2, hGLD-2, PAP-associated domain-containing protein 4, Terminal uridylyltransferase 2, TUTase 2, PAPD4, GLD2 |
| Entrez GeneID | 167153 |
| Swissprot | Q6PIY7 |
| WB Predicted band size | 56.0kDa |
| Host/Isotype | Rabbit IgG |
| Storage | Store at 4°C short term. Aliquot and store at -20°C long term. Avoid freeze/thaw cycles. |
| Species Reactivity | Human, Mouse |
| Immunogen | This GLD2 antibody is generated from rabbits immunized with a KLH conjugated synthetic peptide between 58-87 amino acids from the N-terminal region of human GLD2. |
| Formulation | Purified polyclonal antibody supplied in PBS with 0.05% sodium azide. This antibody is purified through a protein A column, followed by peptide affinity purification. |
| Application | |
|---|---|
| WB | 1/1000 |
| IHC | 1/100-1/500 |
| ICC | 1/25 |
![]() |
Western blot analysis of lysates from HepG2 cell line and mouse brain tissue lysate (from left to right), using GLD2 Antibody (N-term)(Cat. #P32744). P32744 was diluted at 1:1000 at each lane. A goat anti-rabbit IgG H&L(HRP) at 1:10000 dilution was used as the secondary antibody. Lysates at 35ug per lane. |
![]() |
Western blot analysis of lysates from mouse brain, mouse cerebellum tissue lysate (from left to right), using GLD2 Antibody (N-term)(Cat. #P32744). P32744 was diluted at 1:1000 at each lane. A goat anti-rabbit IgG H&L(HRP) at 1:10000 dilution was used as the secondary antibody. Lysates at 20ug per lane. |
![]() |
Fluorescent image of MCF-7 cells stained with GLD2 Antibody (N-term)(Cat#P32744). P32744 was diluted at 1:25 dilution. An Alexa Fluor 488-conjugated goat anti-rabbit lgG at 1:400 dilution was used as the secondary antibody (green). Cytoplasmic actin was counterstained with Alexa Fluor® 555 conjugated with Phalloidin (red). |
![]() |
Western blot analysis of lysates from mouse brain, mouse cerebellum tissue lysate (from left to right), using GLD2 Antibody (N-term)(Cat. #P32744). P32744 was diluted at 1:1000 at each lane. A goat anti-rabbit IgG H&L(HRP) at 1:10000 dilution was used as the secondary antibody. Lysates at 20ug per lane. |
![]() |
Immunohistochemical analysis of paraffin-embedded H. cerebellum section using GLD2 Antibody (N-term)(Cat#P32744). P32744 was diluted at 1:25 dilution. A undiluted biotinylated goat polyvalent antibody was used as the secondary, followed by DAB staining. |
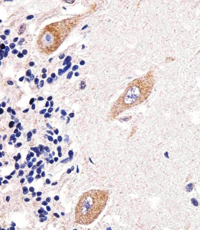
![]() |
GLD2 Antibody (N-term) (Cat. #P32744) immunohistochemistry analysis in formalin fixed and paraffin embedded human brain tissue followed by peroxidase conjugation of the secondary antibody and DAB staining. This data demonstrates the use of the GLD2 Antibody (N-term) for immunohistochemistry. Clinical relevance has not been evaluated. |
本公司的所有产品仅用于科学研究或者工业应用等非医疗目的,不可用于人类或动物的临床诊断或治疗,非药用,非食用。
暂无评论
本公司的所有产品仅用于科学研究或者工业应用等非医疗目的,不可用于人类或动物的临床诊断或治疗,非药用,非食用。
中文






发表回复