别名:PHS; ACLS; GCPS; PAPA; PAPB; PAP-A; PAPA1; PPDIV; GLI3FL; GLI3-190应用:IHC
反应种属:Human, Mouse
规格:50μl/100μl
| Description |
|---|
| This gene encodes a protein which belongs to the C2H2-type zinc finger proteins subclass of the Gli family. They are characterized as DNA-binding transcription factors and are mediators of Sonic hedgehog (Shh) signaling. The protein encoded by this gene localizes in the cytoplasm and activates patched Drosophila homolog (PTCH) gene expression. It is also thought to play a role during embryogenesis. Mutations in this gene have been associated with several diseases, including Greig cephalopolysyndactyly syndrome, Pallister-Hall syndrome, preaxial polydactyly type IV, and postaxial polydactyly types A1 and B. |
| Specification | |
|---|---|
| Aliases | PHS; ACLS; GCPS; PAPA; PAPB; PAP-A; PAPA1; PPDIV; GLI3FL; GLI3-190 |
| Swissprot | P10071 |
| Host/Isotype | Rabbit IgG |
| Storage | Store at 4°C short term. Aliquot and store at -20°C long term. Avoid freeze/thaw cycles. |
| Species Reactivity | Human, Mouse |
| Immunogen | Synthetic peptide of human GLI3 |
| Formulation | pH7.4 PBS, 0.05% NaN3, 40% Glycerol |
| Application | |
|---|---|
| IHC | 1/25-1/100 |
| ELISA | 1/5000-1/10000 |
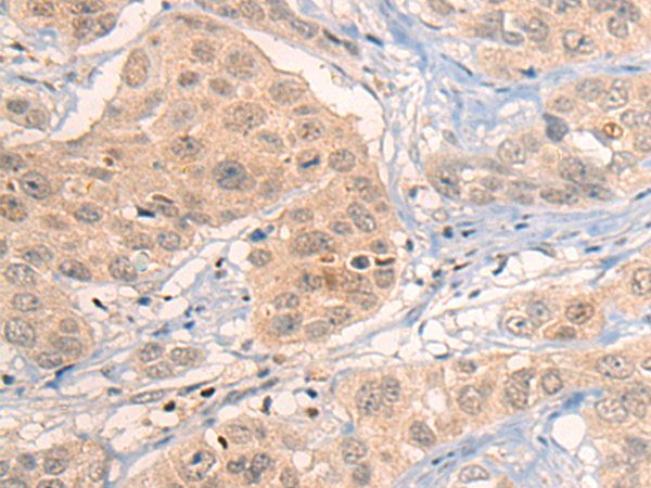
![]() |
The image is immunohistochemistry of paraffin-embedded Human liver cancer tissue using P13144(GLI3 Antibody) at dilution 1/35. (Original magnification: ×200) |
![]() |
The image is immunohistochemistry of paraffin-embedded Human esophagus cancer tissue using P13144(GLI3 Antibody) at dilution 1/35. (Original magnification: ×200) |
本公司的所有产品仅用于科学研究或者工业应用等非医疗目的,不可用于人类或动物的临床诊断或治疗,非药用,非食用。
暂无评论
本公司的所有产品仅用于科学研究或者工业应用等非医疗目的,不可用于人类或动物的临床诊断或治疗,非药用,非食用。
中文


发表回复