别名:应用:IHC
反应种属:Human
规格:50μl/100μl
| Description |
|---|
| GLIS1 is a GLI (MIM 165220)-related Kruppel-like zinc finger protein that functions as an activator and repressor of transcription (Kim et al., 2002 [PubMed 12042312]). Binds to the consensus sequence 5′-GACCACCCAC-3′ (By similarity). |
| Specification | |
|---|---|
| Swissprot | Q8NBF1 |
| Host/Isotype | Rabbit IgG |
| Storage | Store at 4°C short term. Aliquot and store at -20°C long term. Avoid freeze/thaw cycles. |
| Species Reactivity | Human |
| Immunogen | Synthetic peptide of human GLIS1 |
| Formulation | pH7.4 PBS, 0.05% NaN3, 40% Glycerol |
| Application | |
|---|---|
| IHC | 1/40-1/200 |
| ELISA | 1/5000-1/10000 |
![]() |
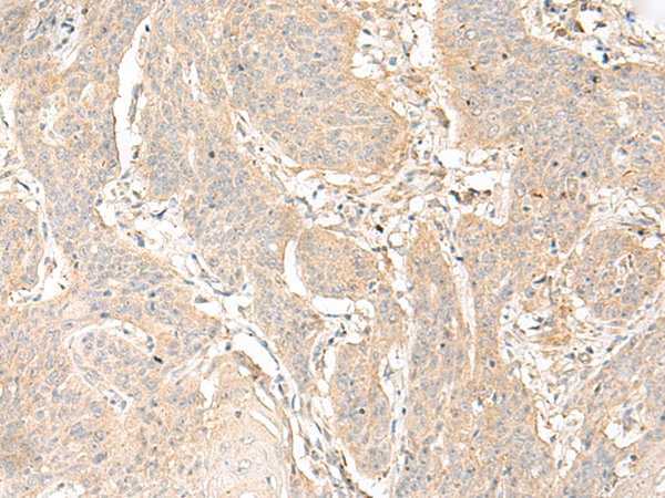
The image is immunohistochemistry of paraffin-embedded Human cervical cancer tissue using P13464(GLIS1 Antibody) at dilution 1/40. (Original magnification: ×200) |
![]() |
The image is immunohistochemistry of paraffin-embedded Human esophagus cancer tissue using P13464(GLIS1 Antibody) at dilution 1/40. (Original magnification: ×200) |
本公司的所有产品仅用于科学研究或者工业应用等非医疗目的,不可用于人类或动物的临床诊断或治疗,非药用,非食用。
暂无评论
本公司的所有产品仅用于科学研究或者工业应用等非医疗目的,不可用于人类或动物的临床诊断或治疗,非药用,非食用。
中文


发表回复