别名:Glycerol kinase 2, GK 2, Glycerokinase 2, ATP:glycerol 3-phosphotransferase 2, Glycerol kinase, testis specific 2, GK2, GKP2, GKTA应用:WB,IHC
反应种属:Human, Mouse
规格:50μl/100μl
| Description |
|---|
| The human glycerol kinase gene family consists of at least 3 expressed loci. The GK1 locus on Xp21.3 is the site of mutations (deletions) causing glycerol kinase deficiency. It comprises 19 exons and is probably ancestral to several other genes which, because they are intronless, are suspected of having arisen by reverse transcriptase mediated events. These include 2 genes on chromosome 4. They are expressed as a single mRNA species in testis where expression is at a high level. |
| Specification | |
|---|---|
| Aliases | Glycerol kinase 2, GK 2, Glycerokinase 2, ATP:glycerol 3-phosphotransferase 2, Glycerol kinase, testis specific 2, GK2, GKP2, GKTA |
| Entrez GeneID | 2712 |
| Swissprot | Q14410 |
| WB Predicted band size | 60.6kDa |
| Host/Isotype | Rabbit IgG |
| Storage | Store at 4°C short term. Aliquot and store at -20°C long term. Avoid freeze/thaw cycles. |
| Species Reactivity | Human, Mouse |
| Immunogen | This Glycerol kinase (GPK2) antibody is generated from rabbits immunized with a KLH conjugated synthetic peptide between 487-515 amino acids from the C-terminal region of human Glycerol kinase (GPK2). |
| Formulation | Purified polyclonal antibody supplied in PBS with 0.05% sodium azide. This antibody is purified through a protein G column, eluted with high and low pH buffers and neutralized immediately, followed by dialysis against PBS. |
| Application | |
|---|---|
| WB | 1/1000 |
| IHC | 1/100-1/500 |
![]() |
The anti-GKP2 Pab (Cat. #P30157) is used in Western blot to detect GKP2 in Jurkat tissue lysate |
![]() |
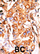
Formalin-fixed and paraffin-embedded human cancer tissue reacted with the primary antibody, which was peroxidase-conjugated to the secondary antibody, followed by AEC staining. This data demonstrates the use of this antibody for immunohistochemistry; clinical relevance has not been evaluated. BC = breast carcinoma; HC = hepatocarcinoma. |
本公司的所有产品仅用于科学研究或者工业应用等非医疗目的,不可用于人类或动物的临床诊断或治疗,非药用,非食用。
暂无评论
本公司的所有产品仅用于科学研究或者工业应用等非医疗目的,不可用于人类或动物的临床诊断或治疗,非药用,非食用。
中文


发表回复