别名:Germ cell-less protein-like 1, GMCL1, GCL应用:WB,IHC
反应种属:Human, Mouse
规格:50μl/100μl
| Description |
|---|
| Possible function in spermatogenesis. Enhances the degradation of MDM2 and increases the amount of p53 probably by modulating the nucleocytoplasmic transport (By similarity). |
| Specification | |
|---|---|
| Aliases | Germ cell-less protein-like 1, GMCL1, GCL |
| Entrez GeneID | 64395 |
| Swissprot | Q96IK5 |
| WB Predicted band size | 58.7kDa |
| Host/Isotype | Rabbit IgG |
| Storage | Store at 4°C short term. Aliquot and store at -20°C long term. Avoid freeze/thaw cycles. |
| Species Reactivity | Human, Mouse |
| Immunogen | This GMCL1 antibody is generated from a rabbit immunized with a KLH conjugated synthetic peptide between 281-315 amino acids from the Central region of human GMCL1. |
| Application | |
|---|---|
| WB | 1/2000 |
| IHC | 1/100-1/500 |
![]() |
All lanes : Anti-GMCL1 Antibody (Center) at 1:2000 dilution Lane 1: 293T/17 whole cell lysate Lane 2: HL-60 whole cell lysate Lane 3: mouse testis lysate Lane 4: MCF-7 whole cell lysate Lysates/proteins at 20 µg per lane. Secondary Predicted band size : 59 kDa Blocking/Dilution buffer: 5% NFDM/TBST. |
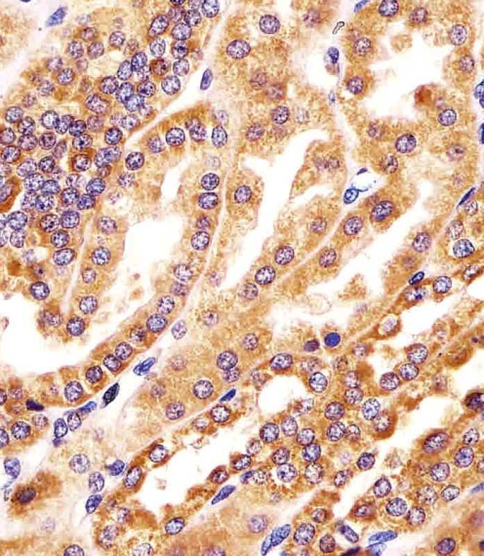
![]() |
P33412 staining GMCL1 in human kidney tissue sections by Immunohistochemistry (IHC-P – paraformaldehyde-fixed, paraffin-embedded sections). Tissue was fixed with formaldehyde and blocked with 3% BSA for 0. 5 hour at room temperature; antigen retrieval was by heat mediation with a citrate buffer (pH6). Samples were incubated with primary antibody (1/25) for 1 hours at 37°C. A undiluted biotinylated goat polyvalent antibody was used as the secondary antibody. |
本公司的所有产品仅用于科学研究或者工业应用等非医疗目的,不可用于人类或动物的临床诊断或治疗,非药用,非食用。
暂无评论
本公司的所有产品仅用于科学研究或者工业应用等非医疗目的,不可用于人类或动物的临床诊断或治疗,非药用,非食用。
中文


发表回复