别名:Guanine nucleotide-binding protein subunit alpha-14, G alpha-14, G-protein subunit alpha-14, GNA14应用:WB,IHC
反应种属:Human
规格:50μl/100μl
| Description |
|---|
| This gene encodes a member of the guanine nucleotide-binding, or G protein family. G proteins are heterotrimers consisting of alpha, beta and gamma subunits. The encoded protein is a member of the alpha family of G proteins, more specifically the alpha q subfamily of G proteins. The encoded protein may play a role in pertussis-toxin resistant activation of phospholipase C-beta and its downstream effectors. |
| Specification | |
|---|---|
| Aliases | Guanine nucleotide-binding protein subunit alpha-14, G alpha-14, G-protein subunit alpha-14, GNA14 |
| Entrez GeneID | 9630 |
| Swissprot | O95837 |
| WB Predicted band size | 41.6kDa |
| Host/Isotype | Rabbit IgG |
| Storage | Store at 4°C short term. Aliquot and store at -20°C long term. Avoid freeze/thaw cycles. |
| Species Reactivity | Human |
| Immunogen | This GNA14 antibody is generated from rabbits immunized with a KLH conjugated synthetic peptide between 4-33 amino acids from the N-terminal region of human GNA14. |
| Formulation | Purified polyclonal antibody supplied in PBS with 0.05% sodium azide. This antibody is purified through a protein A column, followed by peptide affinity purification. |
| Application | |
|---|---|
| WB | 1/1000 |
| IHC | 1/100-1/500 |
![]() |
GNA14 Antibody (N-term) (Cat. #P31147) western blot analysis in MCF-7 cell line lysates (35ug/lane).This demonstrates the GNA14 antibody detected the GNA14 protein (arrow). |
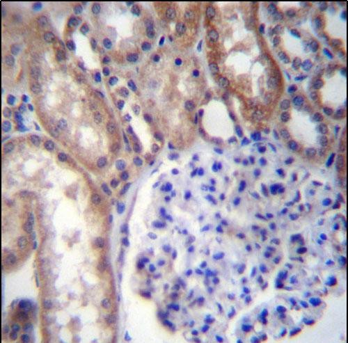
![]() |
GNA14 Antibody (N-term) (Cat. #P31147)immunohistochemistry analysis in formalin fixed and paraffin embedded human kidney tissue followed by peroxidase conjugation of the secondary antibody and DAB staining.This data demonstrates the use of GNA14 Antibody (N-term) for immunohistochemistry. Clinical relevance has not been evaluated. |
本公司的所有产品仅用于科学研究或者工业应用等非医疗目的,不可用于人类或动物的临床诊断或治疗,非药用,非食用。
暂无评论
本公司的所有产品仅用于科学研究或者工业应用等非医疗目的,不可用于人类或动物的临床诊断或治疗,非药用,非食用。
中文


发表回复