别名:MEA-2; GCP170应用:WB,IHC
反应种属:Human
规格:50μl/100μl
| Description |
|---|
| The Golgi apparatus, which participates in glycosylation and transport of proteins and lipids in the secretory pathway, consists of a series of stacked cisternae (flattened membrane sacs). Interactions between the Golgi and microtubules are thought to be important for the reorganization of the Golgi after it fragments during mitosis. This gene encodes a member of the golgin family of proteins which are localized to the Golgi. Its encoded protein has been postulated to play a role in nuclear transport and Golgi apparatus localization. Several alternatively spliced transcript variants that encode different protein isoforms have been described for this gene. |
| Specification | |
|---|---|
| Aliases | MEA-2; GCP170 |
| Swissprot | Q08378 |
| WB Predicted band size | 167 kDa |
| Host/Isotype | Rabbit IgG |
| Storage | Store at 4°C short term. Aliquot and store at -20°C long term. Avoid freeze/thaw cycles. |
| Species Reactivity | Human |
| Immunogen | Synthetic peptide of human GOLGA3 |
| Formulation | pH7.4 PBS, 0.05% NaN3, 40% Glycerol |
| Application | |
|---|---|
| WB | 1/200-1/1000 |
| IHC | 1/20-1/100 |
| ELISA | 1/5000-1/10000 |
![]() |
Gel: 6%SDS-PAGE, Lysate: 40 μg, Lane: HepG2 cell lysate, Primary antibody: P06579(GOLGA3 Antibody) at dilution 1/500, Secondary antibody: Goat anti rabbit IgG at 1/5000 dilution, Exposure time: 1 minute |
![]() |
The image is immunohistochemistry of paraffin-embedded Human ovarian cancer tissue using P06579(GOLGA3 Antibody) at dilution 1/25. (Original magnification: ×200) |
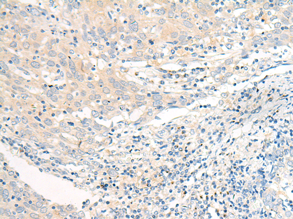
![]() |
The image is immunohistochemistry of paraffin-embedded Human cervical cancer tissue using P06579(GOLGA3 Antibody) at dilution 1/25. (Original magnification: ×200) |
本公司的所有产品仅用于科学研究或者工业应用等非医疗目的,不可用于人类或动物的临床诊断或治疗,非药用,非食用。
暂无评论
本公司的所有产品仅用于科学研究或者工业应用等非医疗目的,不可用于人类或动物的临床诊断或治疗,非药用,非食用。
中文



发表回复