别名:Golgi phosphoprotein 3, Coat protein GPP34, Mitochondrial DNA absence factor, MIDAS, GOLPH3, GPP34应用:WB,IHC,FCM
反应种属:Human, Mouse
规格:50μl/100μl
| Description |
|---|
| The Golgi complex plays a key role in the sorting and modification of proteins exported from the endoplasmic reticulum. This protein encoded by this gene is a peripheral membrane protein of the Golgi stack and may have a regulatory role in Golgi trafficking. |
| Specification | |
|---|---|
| Aliases | Golgi phosphoprotein 3, Coat protein GPP34, Mitochondrial DNA absence factor, MIDAS, GOLPH3, GPP34 |
| Entrez GeneID | 64083 |
| Swissprot | Q9H4A6 |
| WB Predicted band size | 33.8kDa |
| Host/Isotype | Rabbit IgG |
| Storage | Store at 4°C short term. Aliquot and store at -20°C long term. Avoid freeze/thaw cycles. |
| Species Reactivity | Human, Mouse |
| Immunogen | This GOLPH3 antibody is generated from rabbits immunized with a KLH conjugated synthetic peptide between 251-279 amino acids from the C-terminal region of human GOLPH3. |
| Formulation | Purified polyclonal antibody supplied in PBS with 0.05% sodium azide. This antibody is prepared by Saturated Ammonium Sulfate (SAS) precipitation followed by dialysis against PBS. |
| Application | |
|---|---|
| WB | 1/1000 |
| IHC | 1/100-1/500 |
| FCM | 1/10-1/50 |
![]() |
Western blot analysis of anti-GOLPH3 Antibody (C-term)(Cat.#P30342) in mouse lung tissue lysates (35ug/lane). GOLPH3 (arrow) was detected using the purified Pab. |
![]() |
Flow cytometric analysis of hela cells using GOLPH3 Antibody (C-term)(bottom histogram) compared to a negative control cell (top histogram). FITC-conjugated goat-anti-rabbit secondary antibodies were used for the analysis. |
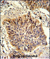
![]() |
Formalin-fixed and paraffin-embedded human lung carcinoma with GOLPH3 Antibody (C-term), which was peroxidase-conjugated to the secondary antibody, followed by DAB staining. This data demonstrates the use of this antibody for immunohistochemistry; clinical relevance has not been evaluated. |
本公司的所有产品仅用于科学研究或者工业应用等非医疗目的,不可用于人类或动物的临床诊断或治疗,非药用,非食用。
暂无评论
本公司的所有产品仅用于科学研究或者工业应用等非医疗目的,不可用于人类或动物的临床诊断或治疗,非药用,非食用。
中文



发表回复