别名:GPIV; GPVI; BDPLT11应用:WB,IHC
反应种属:Human
规格:50μl/100μl
| Description |
|---|
| This gene encodes a platelet membrane glycoprotein of the immunoglobulin superfamily. The encoded protein is a receptor for collagen and plays a critical role in collagen-induced platelet aggregation and thrombus formation. The encoded protein forms a complex with the Fc receptor gamma-chain that initiates the platelet activation signaling cascade upon collagen binding. Mutations in this gene are a cause of platelet-type bleeding disorder-11 (BDPLT11). Alternatively spliced transcript variants encoding multiple isoforms have been observed for this gene. |
| Specification | |
|---|---|
| Aliases | GPIV; GPVI; BDPLT11 |
| Swissprot | Q9HCN6 |
| WB Predicted band size | 37 kDa |
| Host/Isotype | Rabbit IgG |
| Storage | Store at 4°C short term. Aliquot and store at -20°C long term. Avoid freeze/thaw cycles. |
| Species Reactivity | Human |
| Immunogen | Synthetic peptide of human GP6 |
| Formulation | pH7.4 PBS, 0.05% NaN3, 40% Glycerol |
| Application | |
|---|---|
| WB | 1/200-1/1000 |
| IHC | 1/50-1/300 |
| ELISA | 1/5000-1/10000 |
![]() |
Gel: 8%SDS-PAGE, Lysate: 40 μg, Lane 1-3: K562, Jurkat and 293T cell lysates, Primary antibody: P06575(GP6 Antibody) at dilution 1/250, Secondary antibody: Goat anti rabbit IgG at 1/8000 dilution, Exposure time: 5 minutes |
![]() |
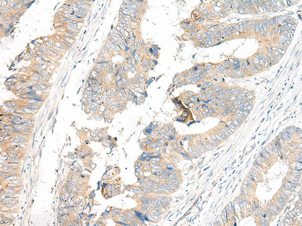
The image is immunohistochemistry of paraffin-embedded Human colorectal cancer tissue using P06575(GP6 Antibody) at dilution 1/50. (Original magnification: ×200) |
![]() |
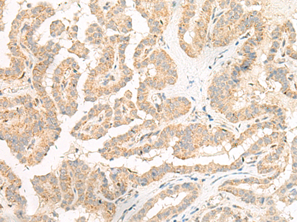
The image is immunohistochemistry of paraffin-embedded Human thyroid cancer tissue using P06575(GP6 Antibody) at dilution 1/50. (Original magnification: ×200) |
本公司的所有产品仅用于科学研究或者工业应用等非医疗目的,不可用于人类或动物的临床诊断或治疗,非药用,非食用。
暂无评论
本公司的所有产品仅用于科学研究或者工业应用等非医疗目的,不可用于人类或动物的临床诊断或治疗,非药用,非食用。
中文



发表回复