别名:Geph应用:IHC
反应种属:Human, Mouse, Rat
规格:50μl/100μl
| Description |
|---|
| Gephyrin is a microtubule-associated protein highly expressed in brain and localized to neuronal postsynaptic membranes. Gephyrin is essential for the postsynaptic localization of the inhibitory glycine receptor and is thought to anchor the receptor to subsynaptic microtubules. The protein is expressed in most mammalian tissues with predominant expression in brain. At least five additional splice variants of Gephyrin ranging in molecular weight have been identified in rat and human brain tissue. |
| Specification | |
|---|---|
| Aliases | Geph |
| Swissprot | Q9NQX3 |
| Host/Isotype | Rabbit IgG |
| Storage | Store at 4°C short term. Aliquot and store at -20°C long term. Avoid freeze/thaw cycles. |
| Species Reactivity | Human, Mouse, Rat |
| Immunogen | Synthetic peptide of human GPHN |
| Formulation | pH7.4 PBS, 0.05% NaN3, 40% Glycerol |
| Application | |
|---|---|
| IHC | 1/50-1/200 |
| ELISA | 1/2000-1/5000 |
![]() |
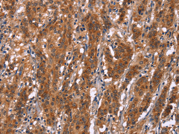
The image is immunohistochemistry of paraffin-embedded Human thyroid cancer tissue using P04898(GPHN Antibody) at dilution 1/30. (Original magnification: ×200) |
![]() |
The image is immunohistochemistry of paraffin-embedded Human gastric cancer tissue using P04898(GPHN Antibody) at dilution 1/30. (Original magnification: ×200) |
本公司的所有产品仅用于科学研究或者工业应用等非医疗目的,不可用于人类或动物的临床诊断或治疗,非药用,非食用。
暂无评论
本公司的所有产品仅用于科学研究或者工业应用等非医疗目的,不可用于人类或动物的临床诊断或治疗,非药用,非食用。
中文


发表回复