别名:GPHR; GPR89; SH120; GPR89B; GPR89C; UNQ192应用:IHC
反应种属:Human, Mouse
规格:50μl/100μl
| Description |
|---|
| GPR89A is a nearly identical copy of the GPR89B gene (MIM 612806). Voltage dependent anion channel required for acidification and functions of the Golgi apparatus that may function in counter-ion conductance. |
| Specification | |
|---|---|
| Aliases | GPHR; GPR89; SH120; GPR89B; GPR89C; UNQ192 |
| Swissprot | B7ZAQ6/P0CG08 |
| Host/Isotype | Rabbit IgG |
| Storage | Store at 4°C short term. Aliquot and store at -20°C long term. Avoid freeze/thaw cycles. |
| Species Reactivity | Human, Mouse |
| Immunogen | Synthetic peptide of human GPR89A/GPR89B |
| Formulation | pH7.4 PBS, 0.05% NaN3, 40% Glycerol |
| Application | |
|---|---|
| IHC | 1/30-1/150 |
| ELISA | 1/5000-1/10000 |
![]() |
The image is immunohistochemistry of paraffin-embedded Human tonsil tissue using P06643(GPR89A/GPR89B Antibody) at dilution 1/25. (Original magnification: ×200) |
![]() |
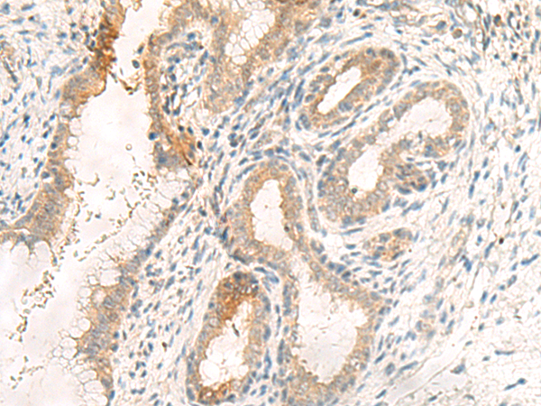
The image is immunohistochemistry of paraffin-embedded Human cervical cancer tissue using P06643(GPR89A/GPR89B Antibody) at dilution 1/25. (Original magnification: ×200) |
本公司的所有产品仅用于科学研究或者工业应用等非医疗目的,不可用于人类或动物的临床诊断或治疗,非药用,非食用。
暂无评论
本公司的所有产品仅用于科学研究或者工业应用等非医疗目的,不可用于人类或动物的临床诊断或治疗,非药用,非食用。
中文


发表回复