别名:GPCR; bA86F4.3应用:WB,IHC
反应种属:Human
规格:50μl/100μl
| Description |
|---|
| Members of family C of the G protein-coupled receptor (GPCR) superfamily, such as GPRC6A, are characterized by an evolutionarily conserved amino acid-sensing motif linked to an intramembranous 7-transmembrane loop region. Several members of GPCR family C, including GPRC6A, also have a long N-terminal domain (summary by Pi et al., 2005 [PubMed 16199532]). |
| Specification | |
|---|---|
| Aliases | GPCR; bA86F4.3 |
| Swissprot | Q5T6X5 |
| WB Predicted band size | 105 kDa |
| Host/Isotype | Rabbit IgG |
| Storage | Store at 4°C short term. Aliquot and store at -20°C long term. Avoid freeze/thaw cycles. |
| Species Reactivity | Human |
| Immunogen | Synthetic peptide of human GPRC6A |
| Formulation | pH7.4 PBS, 0.05% NaN3, 40% Glycerol |
| Application | |
|---|---|
| WB | 1/500-1/2000 |
| IHC | 1/20-1/100 |
| ELISA | 1/5000-1/10000 |
![]() |
Gel: 6%SDS-PAGE, Lysate: 40 μg, Lane 1-2: Hela and 293T cell lysates, Primary antibody: P13516(GPRC6A Antibody) at dilution 1/200, Secondary antibody: Goat anti rabbit IgG at 1/8000 dilution, Exposure time: 1 minute |
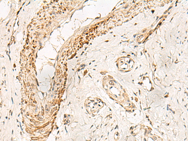
![]() |
The image is immunohistochemistry of paraffin-embedded Human cervical cancer tissue using P13516(GPRC6A Antibody) at dilution 1/20. (Original magnification: ×200) |
本公司的所有产品仅用于科学研究或者工业应用等非医疗目的,不可用于人类或动物的临床诊断或治疗,非药用,非食用。
暂无评论
本公司的所有产品仅用于科学研究或者工业应用等非医疗目的,不可用于人类或动物的临床诊断或治疗,非药用,非食用。
中文


发表回复