别名:TAMALIN应用:IHC
反应种属:Human, Mouse, Rat
规格:50μl/100μl
| Description |
|---|
| This gene encodes a protein that functions as a molecular scaffold, linking receptors, including group 1 metabotropic glutamate receptors, to neuronal proteins. The encoded protein contains conserved domains, including a leucine zipper sequence, PDZ domain and a C-terminal PDZ-binding motif. Alternately spliced transcript variants have been observed for this gene. |
| Specification | |
|---|---|
| Aliases | TAMALIN |
| Swissprot | Q7Z6J2 |
| Host/Isotype | Rabbit IgG |
| Storage | Store at 4°C short term. Aliquot and store at -20°C long term. Avoid freeze/thaw cycles. |
| Species Reactivity | Human, Mouse, Rat |
| Immunogen | Synthetic peptide of human GRASP |
| Formulation | pH7.4 PBS, 0.05% NaN3, 40% Glycerol |
| Application | |
|---|---|
| IHC | 1/50-1/300 |
| ELISA | 1/5000-1/10000 |
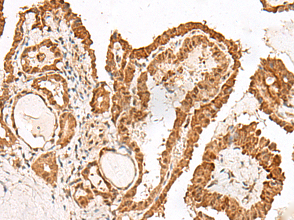
![]() |
The image is immunohistochemistry of paraffin-embedded Human esophagus cancer tissue using P06561(GRASP Antibody) at dilution 1/150. (Original magnification: ×200) |
![]() |
The image is immunohistochemistry of paraffin-embedded Human thyroid cancer tissue using P06561(GRASP Antibody) at dilution 1/150. (Original magnification: ×200) |
本公司的所有产品仅用于科学研究或者工业应用等非医疗目的,不可用于人类或动物的临床诊断或治疗,非药用,非食用。
暂无评论
本公司的所有产品仅用于科学研究或者工业应用等非医疗目的,不可用于人类或动物的临床诊断或治疗,非药用,非食用。
中文


发表回复