别名:GLUR3; GLURC; GluA3; MRX94; GLUR-C; GLUR-K3应用:IHC
反应种属:Human, Mouse, Rat
规格:50μl/100μl
| Description |
|---|
| Glutamate receptors are the predominant excitatory neurotransmitter receptors in the mammalian brain and are activated in a variety of normal neurophysiologic processes. These receptors are heteromeric protein complexes composed of multiple subunits, arranged to form ligand-gated ion channels. The classification of glutamate receptors is based on their activation by different pharmacologic agonists. The subunit encoded by this gene belongs to a family of AMPA (alpha-amino-3-hydroxy-5-methyl-4-isoxazole propionate)-sensitive glutamate receptors, and is subject to RNA editing (AGA->GGA; R->G). Alternative splicing at this locus results in different isoforms, which may vary in their signal transduction properties. |
| Specification | |
|---|---|
| Aliases | GLUR3; GLURC; GluA3; MRX94; GLUR-C; GLUR-K3 |
| Swissprot | P42263 |
| Host/Isotype | Rabbit IgG |
| Storage | Store at 4°C short term. Aliquot and store at -20°C long term. Avoid freeze/thaw cycles. |
| Species Reactivity | Human, Mouse, Rat |
| Immunogen | Synthetic peptide of human GRIA3 |
| Formulation | pH7.4 PBS, 0.05% NaN3, 40% Glycerol |
| Application | |
|---|---|
| IHC | 1/50-1/100 |
| ELISA | 1/500-1/1000 |
![]() |
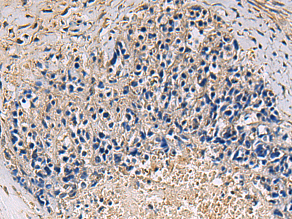
The image is immunohistochemistry of paraffin-embedded Human thyroid cancer using P13635(GRIA3 Antibody) at dilution 1/20. (Original magnification: ×200) |
![]() |
The image is immunohistochemistry of paraffin-embedded Human ovarian cancer using P13635(GRIA3 Antibody) at dilution 1/20. (Original magnification: ×200) |
本公司的所有产品仅用于科学研究或者工业应用等非医疗目的,不可用于人类或动物的临床诊断或治疗,非药用,非食用。
暂无评论
本公司的所有产品仅用于科学研究或者工业应用等非医疗目的,不可用于人类或动物的临床诊断或治疗,非药用,非食用。
中文


发表回复