别名:NR1; MRD8; GluN1; NMDA1; NMDAR1应用:IHC
反应种属:Human,Mouse,Rat
规格:50μl/100μl
| Description |
|---|
| The protein encoded by this gene is a critical subunit of N-methyl-D-aspartate receptors, members of the glutamate receptor channel superfamily which are heteromeric protein complexes with multiple subunits arranged to form a ligand-gated ion channel. These subunits play a key role in the plasticity of synapses, which is believed to underlie memory and learning. Cell-specific factors are thought to control expression of different isoforms, possibly contributing to the functional diversity of the subunits. Alternatively spliced transcript variants have been described. |
| Specification | |
|---|---|
| Aliases | NR1; MRD8; GluN1; NMDA1; NMDAR1 |
| Entrez GeneID | 2902; |
| Swissprot | Q05586 |
| Storage | Store at 4°C short term. Aliquot and store at -20°C long term. Avoid freeze/thaw cycles. |
| Species Reactivity | Human,Mouse,Rat |
| Immunogen | Synthetic peptide corresponding to a region derived from internal residues of human glutamate receptor, ionotropic, N-methyl D-aspartate 1 |
| Formulation | Rabbit IgG in pH7.4 PBS, 0.05% NaN3, 40% Glycerol. |
| Application | |
|---|---|
| IHC | 1/50-1/200 |
![]() |
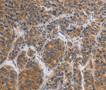
Immunohistochemical analysis of paraffin-embedded Human liver cancer tissue using P42871 at dilution 1/45. |
![]() |
Immunohistochemical analysis of paraffin-embedded Human esophagus cancer tissue using P42871 at dilution 1/45. |
本公司的所有产品仅用于科学研究或者工业应用等非医疗目的,不可用于人类或动物的临床诊断或治疗,非药用,非食用。
暂无评论
本公司的所有产品仅用于科学研究或者工业应用等非医疗目的,不可用于人类或动物的临床诊断或治疗,非药用,非食用。
中文


发表回复