别名:GSDM; FKSG9; GSDM1应用:WB,IHC
反应种属:Human, Mouse
规格:50μl/100μl
| Description |
|---|
| May promote pyroptosis (Probable). Upon cleavage in vitro of genetically engineered GSDMA, the released N-terminal moiety binds to some types of lipids, such as possibly phosphatidylinositol (4,5)-bisphosphate. Homooligomerizes within the membrane and forms pores of 10 -15 nanometers (nm) of inner diameter, triggering cell death. Also binds to bacterial and mitochondrial lipids, including cardiolipin, and exhibits bactericidal activity (PubMed:27281216). The physiological relevance of these observations is unknown (Probable). |
| Specification | |
|---|---|
| Aliases | GSDM; FKSG9; GSDM1 |
| Swissprot | Q96QA5 |
| WB Predicted band size | 49 kDa |
| Host/Isotype | Rabbit IgG |
| Storage | Store at 4°C short term. Aliquot and store at -20°C long term. Avoid freeze/thaw cycles. |
| Species Reactivity | Human, Mouse |
| Immunogen | Fusion protein of human GSDMA |
| Formulation | pH7.4 PBS, 0.05% NaN3, 40% Glycerol |
| Application | |
|---|---|
| WB | 1/500-1/2000 |
| IHC | 1/100-1/200 |
| ELISA | 1/5000-1/10000 |
![]() |
Gel: 8%SDS-PAGE, Lysate: 40 μg, Lane 1-2: LO2 and 293T cell lysates, Primary antibody: P03519(GSDMA Antibody) at dilution 1/800, Secondary antibody: Goat anti rabbit IgG at 1/5000 dilution, Exposure time: 5 minutes |
![]() |
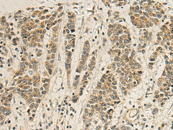
The image is immunohistochemistry of paraffin-embedded Human colorectal cancer tissue using P03519(GSDMA Antibody) at dilution 1/115. (Original magnification: ×200) |
![]() |
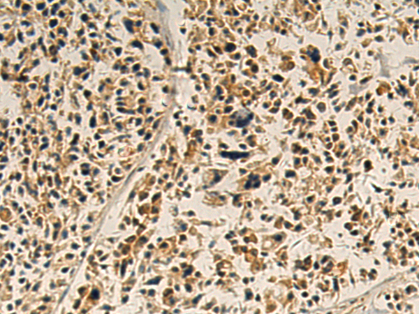
The image is immunohistochemistry of paraffin-embedded Human ovarian cancer tissue using P03519(GSDMA Antibody) at dilution 1/115. (Original magnification: ×200) |
本公司的所有产品仅用于科学研究或者工业应用等非医疗目的,不可用于人类或动物的临床诊断或治疗,非药用,非食用。
暂无评论
本公司的所有产品仅用于科学研究或者工业应用等非医疗目的,不可用于人类或动物的临床诊断或治疗,非药用,非食用。
中文



发表回复