别名:应用:WB,IHC
反应种属:Human, Rat
规格:50μl/100μl
| Description |
|---|
| The glutathione S-transferases (GST; EC 2.5.1.18) catalyze the conjugation of reduced glutathiones and a variety of electrophiles, including many known carcinogens and mutagens. The cytosolic GSTs belong to a large superfamily, with members located on different chromosomes. For additional information on GSTs, see GSTA1 (MIM 138359). |
| Specification | |
|---|---|
| Swissprot | Q7RTV2 |
| WB Predicted band size | 26 kDa |
| Host/Isotype | Rabbit IgG |
| Storage | Store at 4°C short term. Aliquot and store at -20°C long term. Avoid freeze/thaw cycles. |
| Species Reactivity | Human, Rat |
| Immunogen | Synthetic peptide of human GSTA5 |
| Formulation | pH7.4 PBS, 0.05% NaN3, 40% Glycerol |
| Application | |
|---|---|
| WB | 1/1000-1/5000 |
| IHC | 1/200-1/300 |
| ELISA | 1/5000-1/10000 |
![]() |
Gel: 12%SDS-PAGE, Lysate: 40 μg, Lane: Rat liver tissue lysate, Primary antibody: P13539(GSTA5 Antibody) at dilution 1/2700, Secondary antibody: Goat anti rabbit IgG at 1/5000 dilution, Exposure time: 30 seconds |
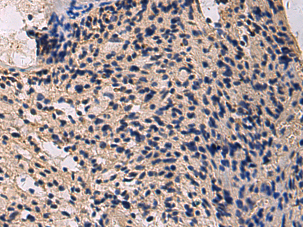
![]() |
The image is immunohistochemistry of paraffin-embedded Human brain tissue using P13539(GSTA5 Antibody) at dilution 1/180. (Original magnification: ×200) |
本公司的所有产品仅用于科学研究或者工业应用等非医疗目的,不可用于人类或动物的临床诊断或治疗,非药用,非食用。
暂无评论
本公司的所有产品仅用于科学研究或者工业应用等非医疗目的,不可用于人类或动物的临床诊断或治疗,非药用,非食用。
中文


发表回复