别名:TF2A2; TFIIA; T18745; TFIIAS; HsT18745; TFIIA-12; TFIIA-gamma应用:WB,IHC
反应种属:Human, Mouse, Rat
规格:50μl/100μl
| Description |
|---|
| Accurate transcription initiation on TATA-containing class II genes involves the ordered assembly of RNA polymerase II (POLR2A; MIM 180660) and the general initiation factors TFIIA, TFIIB (MIM 189963), TFIID (MIM 313650), TFIIE (MIM 189962), TFIIF (MIM 189968), TFIIG/TFIIJ, and TFIIH (MIM 189972). The first step involves recognition of the TATA element by the TATA-binding subunit (TBP; MIM 600075) and may be regulated by TFIIA, a factor that interacts with both TBP and a TBP-associated factor (TAF; MIM 600475) in TFIID. TFIIA has 2 subunits (43 and 12 kD) in yeast and 3 subunits in higher eukaryotes. In HeLa extracts, it consists of a 35-kD alpha subunit and a 19-kD beta subunit encoded by the N- and C-terminal regions of GTF2A1 (MIM 600520), respectively, and a 12-kD gamma subunit encoded by GTF2A2 (DeJong et al., 1995 [PubMed 7724559]). |
| Specification | |
|---|---|
| Aliases | TF2A2; TFIIA; T18745; TFIIAS; HsT18745; TFIIA-12; TFIIA-gamma |
| Entrez GeneID | 2958; |
| Swissprot | P52657 |
| WB Predicted band size | 12kDa |
| Storage | Store at 4°C short term. Aliquot and store at -20°C long term. Avoid freeze/thaw cycles. |
| Species Reactivity | Human, Mouse, Rat |
| Immunogen | Fusion protein of human GTF2A2 |
| Formulation | Rabbit IgG in pH7.4 PBS, 0.05% NaN3, 40% Glycerol. |
| Application | |
|---|---|
| WB | 1/500-2000 |
| IHC | 1/ 25-100 |
![]() |
Gel: 12%SDS-PAGE, Lysate: 40 ug, Lane: Mouse adrenal gland tissue lysate , Primary antibody:P43577(GTF2A2 Antibody) at dilution 1/400, Secondary antibody: Goat anti rabbit IgG at 1/8000 dilution, Exposure time: 30 seconds |
![]() |
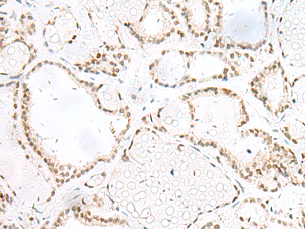
The image is immunohistochemistry of paraffin-embedded Human thyroid cancer tissue using P43577(GTF2A2 Antibody) at dilution 1/55.(Original magnification: 200) |
本公司的所有产品仅用于科学研究或者工业应用等非医疗目的,不可用于人类或动物的临床诊断或治疗,非药用,非食用。
暂无评论
本公司的所有产品仅用于科学研究或者工业应用等非医疗目的,不可用于人类或动物的临床诊断或治疗,非药用,非食用。
中文


发表回复