别名:KAT12; TFIII90; TFIIIC90; TFIIIC290; TF3C-delta; TFIIICDELTA应用:WB,IHC
反应种属:Human, Mouse
规格:50μl/100μl
| Description |
|---|
| Essential for RNA polymerase III to make a number of small nuclear and cytoplasmic RNAs, including 5S RNA, tRNA, and adenovirus-associated (VA) RNA of both cellular and viral origin. Has histone acetyltransferase activity (HAT) with unique specificity for free and nucleosomal H3. May cooperate with GTF3C5 in facilitating the recruitment of TFIIIB and RNA polymerase through direct interactions with BRF1, POLR3C and POLR3F. May be localized close to the A box. |
| Specification | |
|---|---|
| Aliases | KAT12; TFIII90; TFIIIC90; TFIIIC290; TF3C-delta; TFIIICDELTA |
| Swissprot | Q9UKN8 |
| WB Predicted band size | 92 kDa |
| Host/Isotype | Rabbit IgG |
| Storage | Store at 4°C short term. Aliquot and store at -20°C long term. Avoid freeze/thaw cycles. |
| Species Reactivity | Human, Mouse |
| Immunogen | Synthetic peptide of human GTF3C4 |
| Formulation | pH7.4 PBS, 0.05% NaN3, 40% Glycerol |
| Application | |
|---|---|
| WB | 1/1000-1/5000 |
| IHC | 1/150-1/300 |
| ELISA | 1/5000-1/10000 |
![]() |
Gel: 6%SDS-PAGE, Lysate: 40 μg, Lane 1-4: A172, Hela, Jurkat and Raji cell lysates, Primary antibody: P13544(GTF3C4 Antibody) at dilution 1/1300, Secondary antibody: Goat anti rabbit IgG at 1/5000 dilution, Exposure time: 2 minutes |
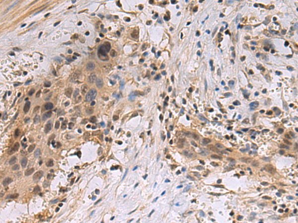
![]() |
The image is immunohistochemistry of paraffin-embedded Human esophagus cancer tissue using P13544(GTF3C4 Antibody) at dilution 1/160. (Original magnification: ×200) |
本公司的所有产品仅用于科学研究或者工业应用等非医疗目的,不可用于人类或动物的临床诊断或治疗,非药用,非食用。
暂无评论
本公司的所有产品仅用于科学研究或者工业应用等非医疗目的,不可用于人类或动物的临床诊断或治疗,非药用,非食用。
中文


发表回复