别名:应用:IHC
反应种属:Human, Mouse, Rat
规格:50μl/100μl
| Description |
|---|
| HACE1 (HECT domain and ankyrin repeat containing, E3 ubiquitin protein ligase 1), also known as KIAA1320, is a 909 amino acid protein that localizes to both the cytoplasm and the endoplasmic reticulum and contains one HECT domain and six ANK repeats. Expressed in kidney, heart and brain, HACE1 functions as an E3 ubiquitin-protein ligase that interacts with the proteasome and is thought to play a role in protein degradation. HACE1 is downregulated in Wilms tumor, suggesting a possible role in tumor suppression. |
| Specification | |
|---|---|
| Swissprot | Q8IYU2 |
| Host/Isotype | Rabbit IgG |
| Storage | Store at 4°C short term. Aliquot and store at -20°C long term. Avoid freeze/thaw cycles. |
| Species Reactivity | Human, Mouse, Rat |
| Immunogen | Synthetic peptide of human HACE1 |
| Formulation | pH7.4 PBS, 0.05% NaN3, 40% Glycerol |
| Application | |
|---|---|
| IHC | 1/50-1/200 |
| ELISA | 1/2000-1/5000 |
![]() |
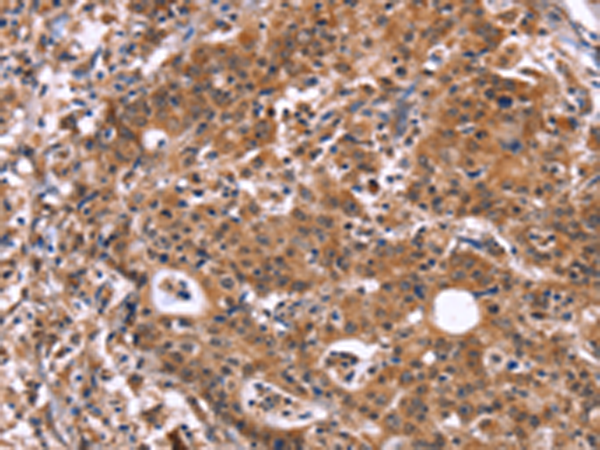
The image is immunohistochemistry of paraffin-embedded Human thyroid cancer tissue using P04921(HACE1 Antibody) at dilution 1/40. (Original magnification: ×200) |
![]() |
The image is immunohistochemistry of paraffin-embedded Human gastric cancer tissue using P04921(HACE1 Antibody) at dilution 1/40. (Original magnification: ×200) |
本公司的所有产品仅用于科学研究或者工业应用等非医疗目的,不可用于人类或动物的临床诊断或治疗,非药用,非食用。
暂无评论
本公司的所有产品仅用于科学研究或者工业应用等非医疗目的,不可用于人类或动物的临床诊断或治疗,非药用,非食用。
中文


发表回复