别名:Hxt; eHand; Thing1; bHLHa27应用:WB,IHC
反应种属:Human, Mouse, Rat
规格:50μl/100μl
| Description |
|---|
| The protein encoded by this gene belongs to the basic helix-loop-helix family of transcription factors. This gene product is one of two closely related family members, the HAND proteins, which are asymmetrically expressed in the developing ventricular chambers and play an essential role in cardiac morphogenesis. Working in a complementary fashion, they function in the formation of the right ventricle and aortic arch arteries, implicating them as mediators of congenital heart disease. In addition, it has been suggested that this transcription factor may be required for early trophoblast differentiation. |
| Specification | |
|---|---|
| Aliases | Hxt; eHand; Thing1; bHLHa27 |
| Swissprot | O96004 |
| WB Predicted band size | 24 kDa |
| Host/Isotype | Rabbit IgG |
| Storage | Store at 4°C short term. Aliquot and store at -20°C long term. Avoid freeze/thaw cycles. |
| Species Reactivity | Human, Mouse, Rat |
| Immunogen | Synthetic peptide of human HAND1 |
| Formulation | pH7.4 PBS, 0.05% NaN3, 40% Glycerol |
| Application | |
|---|---|
| WB | 1/200-1/1000 |
| IHC | 1/50-1/200 |
| ELISA | 1/5000-1/10000 |
![]() |
Gel: 12%SDS-PAGE, Lysate: 40 μg, Lane: Mouse brain tissue lysate, Primary antibody: P12816(HAND1 Antibody) at dilution 1/400, Secondary antibody: Goat anti rabbit IgG at 1/5000 dilution, Exposure time: 1 minute |
![]() |
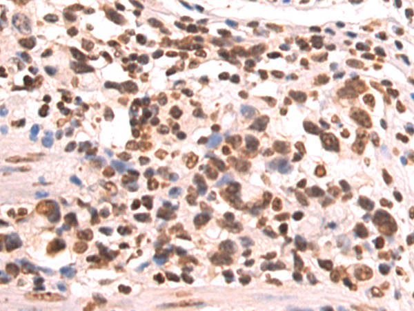
The image is immunohistochemistry of paraffin-embedded Human gastric cancer tissue using P12816(HAND1 Antibody) at dilution 1/50. (Original magnification: ×200) |
![]() |
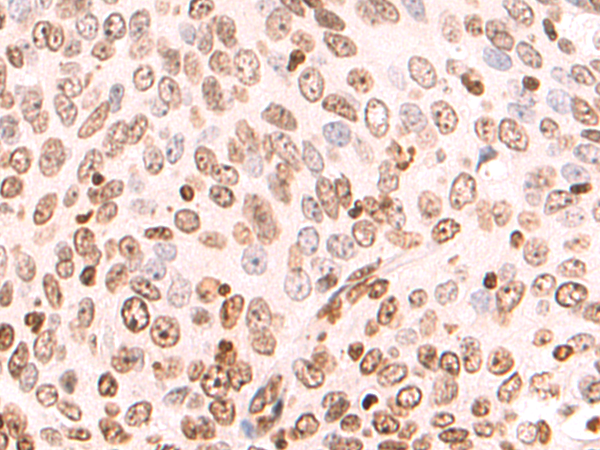
The image is immunohistochemistry of paraffin-embedded Human cervical cancer tissue using P12816(HAND1 Antibody) at dilution 1/50. (Original magnification: ×200) |
本公司的所有产品仅用于科学研究或者工业应用等非医疗目的,不可用于人类或动物的临床诊断或治疗,非药用,非食用。
暂无评论
本公司的所有产品仅用于科学研究或者工业应用等非医疗目的,不可用于人类或动物的临床诊断或治疗,非药用,非食用。
中文



发表回复