别名:GSG2应用:IHC
反应种属:Human
规格:50μl/100μl
| Description |
|---|
| Serine/threonine-protein kinase that phosphorylates histone H3 at ‘Thr-3’ (H3T3ph) during mitosis. This positions and activates AURKB and other components of the chromosomal passenger complex (CPC) at centromeres to ensure proper chromatid cohesion, metaphase alignment and normal progression through the cell cycle. |
| Specification | |
|---|---|
| Aliases | GSG2 |
| Swissprot | Q8TF76 |
| Host/Isotype | Rabbit IgG |
| Storage | Store at 4°C short term. Aliquot and store at -20°C long term. Avoid freeze/thaw cycles. |
| Species Reactivity | Human |
| Immunogen | Synthetic peptide of human HASPIN |
| Formulation | pH7.4 PBS, 0.05% NaN3, 40% Glycerol |
| Application | |
|---|---|
| IHC | 1/40-1/200 |
| ELISA | 1/5000-1/10000 |
![]() |
The image is immunohistochemistry of paraffin-embedded Human tonsil tissue using P06669(HASPIN Antibody) at dilution 1/45. (Original magnification: ×200) |
![]() |
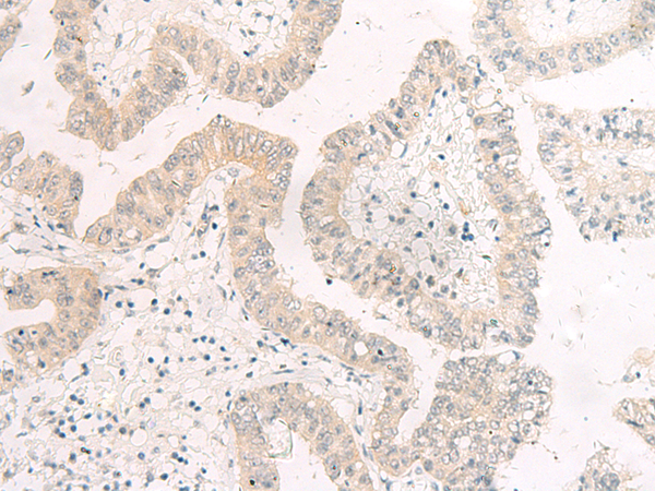
The image is immunohistochemistry of paraffin-embedded Human liver cancer tissue using P06669(HASPIN Antibody) at dilution 1/45. (Original magnification: ×200) |
本公司的所有产品仅用于科学研究或者工业应用等非医疗目的,不可用于人类或动物的临床诊断或治疗,非药用,非食用。
暂无评论
本公司的所有产品仅用于科学研究或者工业应用等非医疗目的,不可用于人类或动物的临床诊断或治疗,非药用,非食用。
中文


发表回复