别名:HAUS augmin-like complex subunit 3, HAUS3, C4orf15应用:WB,IHC
反应种属:Human
规格:50μl/100μl
| Description |
|---|
| HAUS3 is 1 of 8 subunits of the 390-kD human augmin complex, or HAUS complex. The augmin complex was first identified in Drosophila, and its name comes from the Latin verb ‘augmentare,’ meaning ‘to increase.’ The augmin complex is a microtubule-binding complex involved in microtubule generation within the mitotic spindle and is vital to mitotic spindle assembly (Goshima et al., 2008 [PubMed 18443220]; Uehara et al., 2009 [PubMed 19369198]). |
| Specification | |
|---|---|
| Aliases | HAUS augmin-like complex subunit 3, HAUS3, C4orf15 |
| Entrez GeneID | 79441 |
| Swissprot | Q68CZ6 |
| WB Predicted band size | 69.7kDa |
| Host/Isotype | Rabbit IgG |
| Storage | Store at 4°C short term. Aliquot and store at -20°C long term. Avoid freeze/thaw cycles. |
| Species Reactivity | Human |
| Immunogen | This HAUS3 antibody is generated from rabbits immunized with a KLH conjugated synthetic peptide between 372-400 amino acids from the Central region of human HAUS3. |
| Formulation | Purified polyclonal antibody supplied in PBS with 0.05% sodium azide. This antibody is purified through a protein A column, followed by peptide affinity purification. |
| Application | |
|---|---|
| WB | 1/1000 |
| IHC | 1/100-1/500 |
![]() |
HAUS3 Antibody (Center) (Cat. #P30943) western blot analysis in ZR-75-1 cell line lysates (35ug/lane).This demonstrates the HAUS3 antibody detected the HAUS3 protein (arrow). |
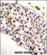
![]() |
HAUS3 Antibody (Center) (Cat. #P30943)immunohistochemistry analysis in formalin fixed and paraffin embedded human testis tissue followed by peroxidase conjugation of the secondary antibody and DAB staining.This data demonstrates the use of HAUS3 Antibody (Center) for immunohistochemistry. Clinical relevance has not been evaluated. |
本公司的所有产品仅用于科学研究或者工业应用等非医疗目的,不可用于人类或动物的临床诊断或治疗,非药用,非食用。
暂无评论
本公司的所有产品仅用于科学研究或者工业应用等非医疗目的,不可用于人类或动物的临床诊断或治疗,非药用,非食用。
中文


发表回复