别名:HAUS augmin-like complex subunit 4, HAUS4, C14orf94应用:WB,IHC
反应种属:Human
规格:50μl/100μl
| Description |
|---|
| HAUS4 encodes a subunit of the centrosome complex termed the human augmin complex. The encoded protein localizes to the spindle microtubules and may play a role in mitotic spindle assembly and maintenance of centrosome integrity during cell division. |
| Specification | |
|---|---|
| Aliases | HAUS augmin-like complex subunit 4, HAUS4, C14orf94 |
| Entrez GeneID | 54930 |
| Swissprot | Q9H6D7 |
| WB Predicted band size | 42.4kDa |
| Host/Isotype | Rabbit IgG |
| Storage | Store at 4°C short term. Aliquot and store at -20°C long term. Avoid freeze/thaw cycles. |
| Species Reactivity | Human |
| Immunogen | This HAUS4 antibody is generated from rabbits immunized with a KLH conjugated synthetic peptide between 288-316 amino acids from the C-terminal region of human HAUS4. |
| Formulation | Purified polyclonal antibody supplied in PBS with 0.05% sodium azide. This antibody is purified through a protein A column, followed by peptide affinity purification. |
| Application | |
|---|---|
| WB | 1/1000 |
| IHC | 1/100-1/500 |
![]() |
HAUS4 Antibody (C-term) (Cat. #P30655) western blot analysis in A549,MCF-7 cell line lysates (35ug/lane).This demonstrates the HAUS4 antibody detected the HAUS4 protein (arrow). |
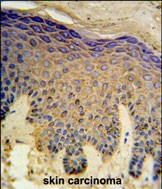
![]() |
HAUS4 Antibody (C-term) (Cat. #P30655) IHC analysis in formalin fixed and paraffin embedded skin carcinoma followed by peroxidase conjugation of the secondary antibody and DAB staining. This data demonstrates the use of the HAUS4 Antibody (C-term) for immunohistochemistry. Clinical relevance has not been evaluated. |
本公司的所有产品仅用于科学研究或者工业应用等非医疗目的,不可用于人类或动物的临床诊断或治疗,非药用,非食用。
暂无评论
本公司的所有产品仅用于科学研究或者工业应用等非医疗目的,不可用于人类或动物的临床诊断或治疗,非药用,非食用。
中文


发表回复