别名:fetal hemoglobin; HBGA; HBGR; HBG-T2; HSGGL1; PRO2979; TNCY; HBG-T1应用:WB,IHC
反应种属:Human
规格:50μl/100μl
| Description |
|---|
| The gamma globin genes (HBG1 and HBG2) are normally expressed in the fetal liver, spleen and bone marrow. Two gamma chains together with two alpha chains constitute fetal hemoglobin (HbF) which is normally replaced by adult hemoglobin (HbA) at birth. In some beta-thalassemias and related conditions, gamma chain production continues into adulthood. The two types of gamma chains differ at residue 136 where glycine is found in the G-gamma product (HBG2) and alanine is found in the A-gamma product (HBG1). The former is predominant at birth. The order of the genes in the beta-globin cluster is: 5′-epsilon — gamma-G — gamma-A — delta — beta–3′. |
| Specification | |
|---|---|
| Aliases | fetal hemoglobin; HBGA; HBGR; HBG-T2; HSGGL1; PRO2979; TNCY; HBG-T1 |
| Swissprot | P69891/P69892 |
| WB Predicted band size | 16 kDa |
| Host/Isotype | Rabbit IgG |
| Storage | Store at 4°C short term. Aliquot and store at -20°C long term. Avoid freeze/thaw cycles. |
| Species Reactivity | Human |
| Immunogen | Fusion protein of human HBG1/HBG2 |
| Formulation | pH7.4 PBS, 0.05% NaN3, 40% Glycerol |
| Application | |
|---|---|
| WB | 1/500-1/2000 |
| IHC | 1/50-1/300 |
| ELISA | 1/5000-1/10000 |
![]() |
Gel: 12%SDS-PAGE, Lysate: 40 μg, Lane: Human plasma solution, Primary antibody: P02826(HBG1/HBG2 Antibody) at dilution 1/350, Secondary antibody: Goat anti rabbit IgG at 1/8000 dilution, Exposure time: 20 seconds |
![]() |
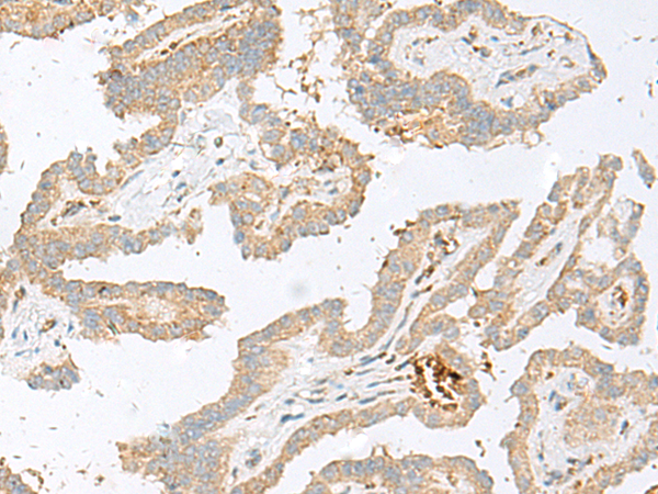
The image is immunohistochemistry of paraffin-embedded Human thyroid cancer tissue using P02826(HBG1/HBG2 Antibody) at dilution 1/100. (Original magnification: ×200) |
![]() |
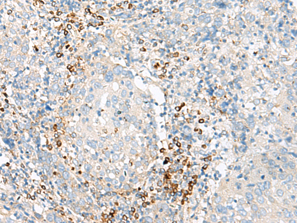
The image is immunohistochemistry of paraffin-embedded Human cervical cancer tissue using P02826(HBG1/HBG2 Antibody) at dilution 1/100. (Original magnification: ×200) |
本公司的所有产品仅用于科学研究或者工业应用等非医疗目的,不可用于人类或动物的临床诊断或治疗,非药用,非食用。
暂无评论
本公司的所有产品仅用于科学研究或者工业应用等非医疗目的,不可用于人类或动物的临床诊断或治疗,非药用,非食用。
中文



发表回复