别名:HCA2; HM74a; HM74b; PUMAG; NIACR1; Puma-g; GPR109A应用:IHC
反应种属:Human, Mouse, Rat
规格:50μl/100μl
| Description |
|---|
| HCAR2, also known as PUMAG or Puma-g, is a member of the G protein coupled receptor (GPCR) superfamily. HCAR2 is highly expressed in adipocytes, immune cells and spleen. Like all members of the GPCR superfamily, HCAR2 contains seven transmembrane domains. |
| Specification | |
|---|---|
| Aliases | HCA2; HM74a; HM74b; PUMAG; NIACR1; Puma-g; GPR109A |
| Swissprot | Q8TDS4 |
| Host/Isotype | Rabbit IgG |
| Storage | Store at 4°C short term. Aliquot and store at -20°C long term. Avoid freeze/thaw cycles. |
| Species Reactivity | Human, Mouse, Rat |
| Immunogen | Synthetic peptide of human HCAR2 |
| Formulation | pH7.4 PBS, 0.05% NaN3, 40% Glycerol |
| Application | |
|---|---|
| IHC | 1/100-1/300 |
| ELISA | 1/2000-1/10000 |
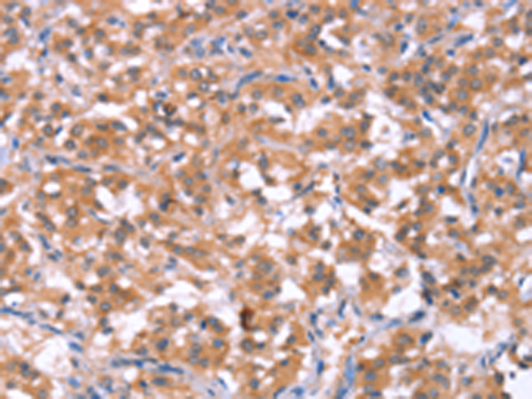
![]() |
The image is immunohistochemistry of paraffin-embedded Human gasrtic cancer tissue using P11798(HCAR2 Antibody) at dilution 1/40. (Original magnification: ×200) |
![]() |
The image is immunohistochemistry of paraffin-embedded Human thyroid cancer tissue using P11798(HCAR2 Antibody) at dilution 1/40. (Original magnification: ×200) |
本公司的所有产品仅用于科学研究或者工业应用等非医疗目的,不可用于人类或动物的临床诊断或治疗,非药用,非食用。
暂无评论
本公司的所有产品仅用于科学研究或者工业应用等非医疗目的,不可用于人类或动物的临床诊断或治疗,非药用,非食用。
中文


发表回复