别名:HCA2; HM74a; HM74b; PUMAG; NIACR1; Puma-g; GPR109A应用:IHC
反应种属:Human, Mouse, Rat
规格:50μl/100μl
| Description |
|---|
| Acts as a high affinity receptor for both nicotinic acid (also known as niacin) and (D)-beta-hydroxybutyrate and mediates increased adiponectin secretion and decreased lipolysis through G(i)-protein-mediated inhibition of adenylyl cyclase. This pharmacological effect requires nicotinic acid doses that are much higher than those provided by a normal diet. Mediates nicotinic acid-induced apoptosis in mature neutrophils. Receptor activation by nicotinic acid results in reduced cAMP levels which may affect activity of cAMP-dependent protein kinase A and phosphorylation of target proteins, leading to neutrophil apoptosis. The rank order of potency for the displacement of nicotinic acid binding is 5-methyl pyrazole-3-carboxylic acid = pyridine-3-acetic acid > acifran > 5-methyl nicotinic acid = acipimox >> nicotinuric acid = nicotinamide. |
| Specification | |
|---|---|
| Aliases | HCA2; HM74a; HM74b; PUMAG; NIACR1; Puma-g; GPR109A |
| Swissprot | Q8TDS4 |
| Host/Isotype | Rabbit IgG |
| Storage | Store at 4°C short term. Aliquot and store at -20°C long term. Avoid freeze/thaw cycles. |
| Species Reactivity | Human, Mouse, Rat |
| Immunogen | Synthetic peptide of human HCAR2 |
| Formulation | pH7.4 PBS, 0.05% NaN3, 40% Glycerol |
| Application | |
|---|---|
| IHC | 1/50-1/200 |
| ELISA | 1/5000-1/10000 |
![]() |
The image is immunohistochemistry of paraffin-embedded Human tonsil tissue using P04911(HCAR2 Antibody) at dilution 1/50. (Original magnification: ×200) |
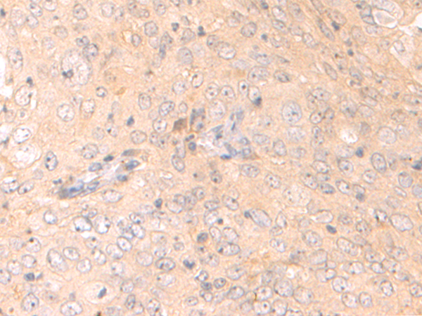
![]() |
The image is immunohistochemistry of paraffin-embedded Human cervical cancer tissue using P04911(HCAR2 Antibody) at dilution 1/50. (Original magnification: ×200) |
本公司的所有产品仅用于科学研究或者工业应用等非医疗目的,不可用于人类或动物的临床诊断或治疗,非药用,非食用。
暂无评论
本公司的所有产品仅用于科学研究或者工业应用等非医疗目的,不可用于人类或动物的临床诊断或治疗,非药用,非食用。
中文


发表回复