别名:OX; PPOX; NRCLP1应用:IHC
反应种属:Human, Mouse, Rat
规格:50μl/100μl
| Description |
|---|
| This gene encodes a hypothalamic neuropeptide precursor protein that gives rise to two mature neuropeptides, orexin A and orexin B, by proteolytic processing. Orexin A and orexin B, which bind to orphan G-protein coupled receptors HCRTR1 and HCRTR2, function in the regulation of sleep and arousal. This neuropeptide arrangement may also play a role in feeding behavior, metabolism, and homeostasis. |
| Specification | |
|---|---|
| Aliases | OX; PPOX; NRCLP1 |
| Swissprot | O43612 |
| Host/Isotype | Rabbit IgG |
| Storage | Store at 4°C short term. Aliquot and store at -20°C long term. Avoid freeze/thaw cycles. |
| Species Reactivity | Human, Mouse, Rat |
| Immunogen | Synthetic peptide of human HCRT(Orexin-B) |
| Formulation | pH7.4 PBS, 0.05% NaN3, 40% Glycerol |
| Application | |
|---|---|
| IHC | 1/25-1/100 |
| ELISA | 1/5000-1/10000 |
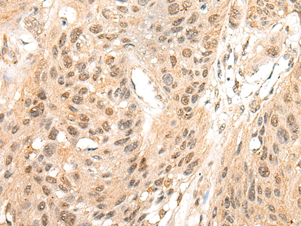
![]() |
The image is immunohistochemistry of paraffin-embedded Human liver cancer tissue using P06297(HCRT(Orexin-B) Antibody) at dilution 1/20. (Original magnification: ×200) |
![]() |
The image is immunohistochemistry of paraffin-embedded Human esophagus cancer tissue using P06297(HCRT(Orexin-B) Antibody) at dilution 1/20. (Original magnification: ×200) |
本公司的所有产品仅用于科学研究或者工业应用等非医疗目的,不可用于人类或动物的临床诊断或治疗,非药用,非食用。
暂无评论
本公司的所有产品仅用于科学研究或者工业应用等非医疗目的,不可用于人类或动物的临床诊断或治疗,非药用,非食用。
中文


发表回复