别名:Histone deacetylase 9, HD9, Histone deacetylase 7B, HD7, HD7b, Histone deacetylase-related protein, MEF2-interacting transcription repressor MITR, HDAC9, HDAC7, HDAC7B, HDRP, KIAA0744, MITR应用:WB,IHC,ICC
反应种属:Human, Mouse
规格:50μl/100μl
| Description |
|---|
| Histones play a critical role in transcriptional regulation, cell cycle progression, and developmental events. Histone acetylation/deacetylation alters chromosome structure and affects transcription factor access to DNA. The protein encoded by this gene has sequence homology to members of the histone deacetylase family. This gene is orthologous to the Xenopus and mouse MITR genes. The MITR protein lacks the histone deacetylase catalytic domain. It represses MEF2 activity through recruitment of multicomponent corepressor complexes that include CtBP and HDACs. This encoded protein may play a role in hematopoiesis. Multiple alternatively spliced transcripts have been described for this gene but the full-length nature of some of them has not been determined. |
| Specification | |
|---|---|
| Aliases | Histone deacetylase 9, HD9, Histone deacetylase 7B, HD7, HD7b, Histone deacetylase-related protein, MEF2-interacting transcription repressor MITR, HDAC9, HDAC7, HDAC7B, HDRP, KIAA0744, MITR |
| Entrez GeneID | 9734 |
| Swissprot | Q9UKV0 |
| WB Predicted band size | 111.3kDa |
| Host/Isotype | Rabbit IgG |
| Storage | Store at 4°C short term. Aliquot and store at -20°C long term. Avoid freeze/thaw cycles. |
| Species Reactivity | Human, Mouse |
| Immunogen | This HDAC9 antibody is generated from rabbits immunized with a KLH conjugated synthetic peptide between 2-32 amino acids from the N-terminal region of human HDAC9. |
| Formulation | Purified polyclonal antibody supplied in PBS with 0.05% sodium azide. This antibody is prepared by Saturated Ammonium Sulfate (SAS) precipitation followed by dialysis against PBS. |
| Application | |
|---|---|
| WB | 1/1000 |
| IHC | 1/100-1/500 |
| ICC | 1/1000 |
![]() |
Both anti-HDAC9 N-term (P30005) and C-term Pab were tested by WB and IP-WB using HeLa and HeLa-HDAC9 transfected cells. Top figure shows both Pab specifically detect HDAC9 in HeLa-HDAC9 transfected cell but not HeLa alone. |
![]() |
Figure 1: Immunoblots for MITR (P30005 HDAC9 N-term antibody), Mirk, MyoD and tubulin proteins are shown for cytoplasmic (Cyt) and nuclear (N) extracts from undifferentiated C2C12 myoblasts. Before cell collection for fractionation, the cells are transfected with plasmids coding for Mirk (Wt), kinase-inactive Mirk (YF) or MITR. Data courtesy of laboratory of Dr. Eileen Friedman. Dept of Pathology, Upstate Medical University, State University of New York. |
![]() |
Figure 2: Immunofluorescence staining of MITR for a compartmentalization study in undifferentiated C2C12 myoblasts transfected with a MITR-expressing plasmid. MITR is detected by using the HDAC9 N-term antibody (top panel) or a FLAG antibody (bottom panel) detecting a FLAG epitope fused at the N-term end of the MITR construct. Data courtesy of laboratory of Dr. Eileen Friedman. Dept of Pathology, Upstate Medical University, State University of New York. |
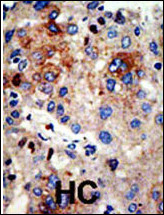
![]() |
Formalin-fixed and paraffin-embedded human cancer tissue reacted with the primary antibody, which was peroxidase-conjugated to the secondary antibody, followed by AEC staining. This data demonstrates the use of this antibody for immunohistochemistry; clinical relevance has not been evaluated. BC = breast carcinoma; HC = hepatocarcinoma. |
本公司的所有产品仅用于科学研究或者工业应用等非医疗目的,不可用于人类或动物的临床诊断或治疗,非药用,非食用。
暂无评论
本公司的所有产品仅用于科学研究或者工业应用等非医疗目的,不可用于人类或动物的临床诊断或治疗,非药用,非食用。
中文




发表回复