别名:HDC; HDCL; HHDC; dJ225E12.1应用:IHC
反应种属:Human
规格:50μl/100μl
| Description |
|---|
| This gene encodes the homolog of the Drosophila headcase protein, a highly basic, cytoplasmic protein that regulates the re-entry of imaginal cells into the mitotic cycle during adult morphogenesis. In Drosophila, the encoded protein also inhibits terminal branching of neighboring cells during tracheal development. |
| Specification | |
|---|---|
| Aliases | HDC; HDCL; HHDC; dJ225E12.1 |
| Swissprot | Q9UBI9 |
| Host/Isotype | Rabbit IgG |
| Storage | Store at 4°C short term. Aliquot and store at -20°C long term. Avoid freeze/thaw cycles. |
| Species Reactivity | Human |
| Immunogen | Synthetic peptide of human HECA |
| Formulation | pH7.4 PBS, 0.05% NaN3, 40% Glycerol |
| Application | |
|---|---|
| IHC | 1/20-1/100 |
| ELISA | 1/5000-1/10000 |
![]() |
The image is immunohistochemistry of paraffin-embedded Human tonsil tissue using P06682(HECA Antibody) at dilution 1/20. (Original magnification: ×200) |
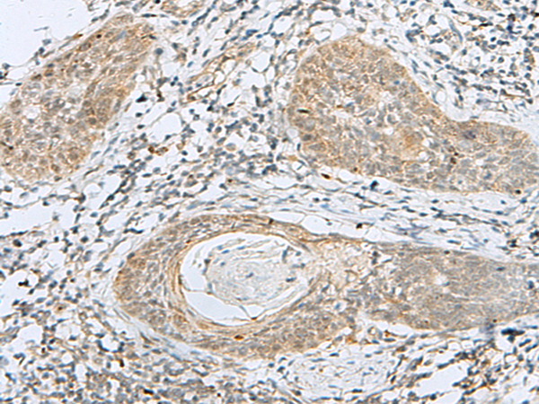
![]() |
The image is immunohistochemistry of paraffin-embedded Human esophagus cancer tissue using P06682(HECA Antibody) at dilution 1/20. (Original magnification: ×200) |
本公司的所有产品仅用于科学研究或者工业应用等非医疗目的,不可用于人类或动物的临床诊断或治疗,非药用,非食用。
暂无评论
本公司的所有产品仅用于科学研究或者工业应用等非医疗目的,不可用于人类或动物的临床诊断或治疗,非药用,非食用。
中文


发表回复