别名:Protein-cysteine N-palmitoyltransferase HHAT, 231-, Hedgehog acyltransferase, Melanoma antigen recognized by T-cells 2, MART-2, Skinny hedgehog protein 1, HHAT, MART2, SKI1应用:WB,IHC,FCM
反应种属:Human
规格:50μl/100μl
| Description |
|---|
| Skinny hedgehog’ (SKI1) encodes an enzyme that acts within the secretory pathway to catalyze amino-terminal palmitoylation of ‘hedgehog’ (see MIM 600725). |
| Specification | |
|---|---|
| Aliases | Protein-cysteine N-palmitoyltransferase HHAT, 231-, Hedgehog acyltransferase, Melanoma antigen recognized by T-cells 2, MART-2, Skinny hedgehog protein 1, HHAT, MART2, SKI1 |
| Entrez GeneID | 55733 |
| Swissprot | Q5VTY9 |
| WB Predicted band size | 57.3kDa |
| Host/Isotype | Rabbit IgG |
| Storage | Store at 4°C short term. Aliquot and store at -20°C long term. Avoid freeze/thaw cycles. |
| Species Reactivity | Human |
| Immunogen | This HHAT antibody is generated from rabbits immunized with a KLH conjugated synthetic peptide between 30-59 amino acids from the N-terminal region of human HHAT. |
| Formulation | Purified polyclonal antibody supplied in PBS with 0.05% sodium azide. This antibody is purified through a protein A column, followed by peptide affinity purification. |
| Application | |
|---|---|
| WB | 1/1000 |
| IHC | 1/100-1/500 |
| FCM | 1/10-1/50 |
![]() |
HHAT Antibody (N-term) (Cat.#P30690) western blot analysis in K562 cell line lysates (35ug/lane).This demonstrates the HHAT antibody detected the HHAT protein (arrow). |
![]() |
HHAT Antibody (N-term) (Cat. #P30690) flow cytometric analysis of K562 cells (bottom histogram) compared to a negative control cell (top histogram).FITC-conjugated goat-anti-rabbit secondary antibodies were used for the analysis. |
![]() |
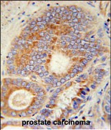
HHAT Antibody (N-term) (Cat. #P30690) immunohistochemistry analysis in formalin fixed and paraffin embedded human prostate carcinoma followed by peroxidase conjugation of the secondary antibody and DAB staining. This data demonstrates the use of the HHAT Antibody (N-term) for immunohistochemistry. Clinical relevance has not been evaluated. |
本公司的所有产品仅用于科学研究或者工业应用等非医疗目的,不可用于人类或动物的临床诊断或治疗,非药用,非食用。
暂无评论
本公司的所有产品仅用于科学研究或者工业应用等非医疗目的,不可用于人类或动物的临床诊断或治疗,非药用,非食用。
中文



发表回复