别名:FIH1应用:WB,IHC
反应种属:Human, Mouse
规格:50μl/100μl
| Description |
|---|
| Factor inhibiting HIF-1 (FIH-1) exists as a homodimer and binds to HIF-1alpha. Specifically, FIH-1 operates as an asparaginyl hydroxylase. It catalyzes the hydroxylation of the beta-carbon of Asparagine residue 803 within the carboxy terminal transactivation domain of HIF-1alpha. This hydroxylation event blocks the association of HIF-1alpha with co-activators. FIH-1 also binds to von Hippel-Lindau (VHL) tumor suppressor protein, which represses transcriptional ac-tivity of HIF-1alpha. In transiently transfected human osteosarcoma cells, FIH-1 localizes to the cytoplasm. |
| Specification | |
|---|---|
| Aliases | FIH1 |
| Swissprot | Q9NWT6 |
| WB Predicted band size | 40 kDa |
| Host/Isotype | Rabbit IgG |
| Storage | Store at 4°C short term. Aliquot and store at -20°C long term. Avoid freeze/thaw cycles. |
| Species Reactivity | Human, Mouse |
| Immunogen | Synthetic peptide of human HIF1AN |
| Formulation | pH7.4 PBS, 0.05% NaN3, 40% Glycerol |
| Application | |
|---|---|
| WB | 1/500-1/2000 |
| IHC | 1/50-1/300 |
| ELISA | 1/2000-1/10000 |
![]() |
Gel: 8%SDS-PAGE, Lysate: 60 μg, Lane 1-2: Mouse brain tissue, Mouse liver tissue, Primary antibody: P05210(HIF1AN Antibody) at dilution 1/200, Secondary antibody: Goat anti rabbit IgG at 1/8000 dilution, Exposure time: 20 seconds |
![]() |
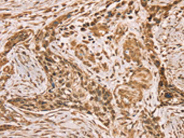
The image is immunohistochemistry of paraffin-embedded Human esophagus cancer tissue using P05210(HIF1AN Antibody) at dilution 1/40. (Original magnification: ×200) |
![]() |
The image is immunohistochemistry of paraffin-embedded Human brain tissue using P05210(HIF1AN Antibody) at dilution 1/40. (Original magnification: ×200) |
本公司的所有产品仅用于科学研究或者工业应用等非医疗目的,不可用于人类或动物的临床诊断或治疗,非药用,非食用。
暂无评论
本公司的所有产品仅用于科学研究或者工业应用等非医疗目的,不可用于人类或动物的临床诊断或治疗,非药用,非食用。
中文



发表回复