别名:Huntingtin-interacting protein 1-related protein, HIP1-related protein, Huntingtin-interacting protein 12, HIP-12, HIP1R, HIP12, KIAA0655应用:WB,IHC,FCM
反应种属:Human
规格:50μl/100μl
| Description |
|---|
| This protein is a “fusion” protein encoding four enzymatic activities of the pyrimidine pathway (GATase, CPSase, ATCase and DHOase). |
| Specification | |
|---|---|
| Aliases | Huntingtin-interacting protein 1-related protein, HIP1-related protein, Huntingtin-interacting protein 12, HIP-12, HIP1R, HIP12, KIAA0655 |
| Entrez GeneID | 9026 |
| Swissprot | O75146 |
| WB Predicted band size | 119.4kDa |
| Host/Isotype | Rabbit IgG |
| Storage | Store at 4°C short term. Aliquot and store at -20°C long term. Avoid freeze/thaw cycles. |
| Species Reactivity | Human |
| Immunogen | This HIP1R antibody is generated from rabbits immunized with a KLH conjugated synthetic peptide between 98-126 amino acids from the N-terminal region of human HIP1R. |
| Formulation | Purified polyclonal antibody supplied in PBS with 0.05% sodium azide. This antibody is purified through a protein A column, followed by peptide affinity purification. |
| Application | |
|---|---|
| WB | 1/1000 |
| IHC | 1/100-1/500 |
| FCM | 1/10-1/50 |
![]() |
HIP1R Antibody (N-term) (Cat. #P30920) western blot analysis in Ramos cell line lysates (35ug/lane).This demonstrates the HIP1R antibody detected the HIP1R protein (arrow). |
![]() |
HIP1R Antibody (N-term) (Cat. #P30920) flow cytometric analysis of Ramos cells (right histogram) compared to a negative control cell (left histogram).FITC-conjugated goat-anti-rabbit secondary antibodies were used for the analysis. |
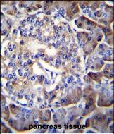
![]() |
HIP1R Antibody (N-term) (Cat. #P30920)immunohistochemistry analysis in formalin fixed and paraffin embedded human pancreas tissue followed by peroxidase conjugation of the secondary antibody and DAB staining.This data demonstrates the use of HIP1R Antibody (N-term) for immunohistochemistry. Clinical relevance has not been evaluated. |
本公司的所有产品仅用于科学研究或者工业应用等非医疗目的,不可用于人类或动物的临床诊断或治疗,非药用,非食用。
暂无评论
本公司的所有产品仅用于科学研究或者工业应用等非医疗目的,不可用于人类或动物的临床诊断或治疗,非药用,非食用。
中文



发表回复