别名:Ubiquitin-conjugating enzyme E2 K, Huntingtin-interacting protein 2, HIP-2, Ubiquitin carrier protein, Ubiquitin-conjugating enzyme E2-25 kDa, Ubiquitin-conjugating enzyme E2(25K), Ubiquitin-conjugating enzyme E2-25K, Ubiquitin-protein ligase, UBE2K, HIP2, LIG应用:WB,IHC,ICC
反应种属:Human, Mouse
规格:50μl/100μl
| Description |
|---|
| HIP2 belongs to the ubiquitin-conjugating enzyme family. It binds selectively to a large region at the N terminus of huntingtin. This interaction is not influenced by the length of the huntingtin polyglutamine tract. This protein has been implicated in the degradation of huntingtin and suppression of apoptosis. |
| Specification | |
|---|---|
| Aliases | Ubiquitin-conjugating enzyme E2 K, Huntingtin-interacting protein 2, HIP-2, Ubiquitin carrier protein, Ubiquitin-conjugating enzyme E2-25 kDa, Ubiquitin-conjugating enzyme E2(25K), Ubiquitin-conjugating enzyme E2-25K, Ubiquitin-protein ligase, UBE2K, HIP2, LIG |
| Entrez GeneID | 3093 |
| Swissprot | P61086 |
| WB Predicted band size | 22.4kDa |
| Host/Isotype | Rabbit IgG |
| Storage | Store at 4°C short term. Aliquot and store at -20°C long term. Avoid freeze/thaw cycles. |
| Species Reactivity | Human, Mouse |
| Immunogen | This HIP2 antibody is generated from rabbits immunized with a KLH conjugated synthetic peptide between 109-139 amino acids from the Central region of human HIP2. |
| Formulation | Purified polyclonal antibody supplied in PBS with 0.05% sodium azide. This antibody is prepared by Saturated Ammonium Sulfate (SAS) precipitation followed by dialysis against PBS. |
| Application | |
|---|---|
| WB | 1/1000 |
| IHC | 1/100 |
| ICC | 1/10-1/50 |
![]() |
HIP2 Antibody (D124) (Cat. #P30063) western blot analysis in 293,mouse C2C12 cell line lysates (35ug/lane).This demonstrates the HIP2 antibody detected the HIP2 protein (arrow). |
![]() |
Fluorescent image of Hela cell stained with HIP2 Antibody (Center)(Cat#P30063/SH030911H).Hela cells were fixed with 4% PFA (20 min), permeabilized with Triton X-100 (0.1%, 10 min), then incubated with HIP2 primary antibody (1:25, 1 h at 37℃). For secondary antibody, Alexa Fluor® 488 conjugated donkey anti-rabbit antibody (green) was used (1:400, 50 min at 37℃).Cytoplasmic actin was counterstained with Alexa Fluor® 555 (red) conjugated Phalloidin (7units/ml, 1 h at 37℃). HIP2 immunoreactivity is localized to Cytoplasm significantly. |
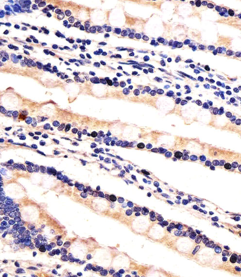
![]() |
Immunohistochemical analysis of paraffin-embedded H. small intestine section using HIP2 Antibody (Center)(Cat#P30063). P30063 was diluted at 1:100 dilution. A undiluted biotinylated goat polyvalent antibody was used as the secondary, followed by DAB staining. |
本公司的所有产品仅用于科学研究或者工业应用等非医疗目的,不可用于人类或动物的临床诊断或治疗,非药用,非食用。
暂无评论
本公司的所有产品仅用于科学研究或者工业应用等非医疗目的,不可用于人类或动物的临床诊断或治疗,非药用,非食用。
中文



发表回复