别名:Homeodomain-interacting protein kinase 1, Nuclear body-associated kinase 2, HIPK1, KIAA0630, MYAK, NBAK2应用:WB,IHC
反应种属:Human
规格:50μl/100μl
| Description |
|---|
| The protein encoded by this gene belongs to the Ser/Thr family of protein kinases and HIPK subfamily. It phosphorylates homeodomain transcription factors and may also function as a co-repressor for homeodomain transcription factors. Alternative splicing results in four transcript variants encoding four distinct isoforms. |
| Specification | |
|---|---|
| Aliases | Homeodomain-interacting protein kinase 1, Nuclear body-associated kinase 2, HIPK1, KIAA0630, MYAK, NBAK2 |
| Entrez GeneID | 204851 |
| Swissprot | Q86Z02 |
| WB Predicted band size | 130.8kDa |
| Host/Isotype | Rabbit IgG |
| Storage | Store at 4°C short term. Aliquot and store at -20°C long term. Avoid freeze/thaw cycles. |
| Species Reactivity | Human |
| Immunogen | This HIPK1 antibody is generated from rabbits immunized with a KLH conjugated synthetic peptide between 893-922 amino acids from the C-terminal region of human HIPK1. |
| Formulation | Purified polyclonal antibody supplied in PBS with 0.05% sodium azide. This antibody is purified through a protein A column, followed by peptide affinity purification. |
| Application | |
|---|---|
| WB | 1/1000 |
| IHC | 1/100-1/500 |
![]() |
Western blot analysis of HIPK1 Antibody (C-term) Pab (Cat. #P31094) pre-incubated without(lane 1) and with(lane 2) blocking peptide in MCF-7 cell line lysate. HIPK1 Antibody (C-term) (arrow) was detected using the purified Pab. |
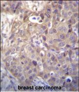
![]() |
HIPK1 Antibody (C-term) (Cat. #P31094)immunohistochemistry analysis in formalin fixed and paraffin embedded human breast carcinoma followed by peroxidase conjugation of the secondary antibody and DAB staining.This data demonstrates the use of HIPK1 Antibody (C-term) for immunohistochemistry. Clinical relevance has not been evaluated. |
本公司的所有产品仅用于科学研究或者工业应用等非医疗目的,不可用于人类或动物的临床诊断或治疗,非药用,非食用。
暂无评论
本公司的所有产品仅用于科学研究或者工业应用等非医疗目的,不可用于人类或动物的临床诊断或治疗,非药用,非食用。
中文


发表回复