别名:Histone H2A type 1-B/E, Histone H2A2, Histone H2A/a, Histone H2A/m, HIST1H2AB, H2AFM应用:WB,IHC,FCM
反应种属:Human
规格:50μl/100μl
| Description |
|---|
| Histones are basic nuclear proteins that are responsible for the nucleosome structure of the chromosomal fiber in eukaryotes. This structure consists of approximately 146 bp of DNA wrapped around a nucleosome, an octamer composed of pairs of each of the four core histones (H2A, H2B, H3, and H4). The chromatin fiber is further compacted through the interaction of a linker histone, H1, with the DNA between the nucleosomes to form higher order chromatin structures. This gene is intronless and encodes a member of the histone H2A family. Transcripts from this gene lack polyA tails; instead, they contain a palindromic termination element. This gene is found in the large histone gene cluster on chromosome 6p22-p21.3. |
| Specification | |
|---|---|
| Aliases | Histone H2A type 1-B/E, Histone H2A2, Histone H2A/a, Histone H2A/m, HIST1H2AB, H2AFM |
| Entrez GeneID | 3012;8335 |
| Swissprot | P04908 |
| WB Predicted band size | 14.1kDa |
| Host/Isotype | Rabbit IgG |
| Storage | Store at 4°C short term. Aliquot and store at -20°C long term. Avoid freeze/thaw cycles. |
| Species Reactivity | Human |
| Immunogen | This HIST1H2AB antibody is generated from rabbits immunized with a KLH conjugated synthetic peptide between 12-40 amino acids from the N-terminal region of human HIST1H2AB. |
| Formulation | Purified polyclonal antibody supplied in PBS with 0.05% sodium azide. This antibody is purified through a protein A column, followed by peptide affinity purification. |
| Application | |
|---|---|
| WB | 1/1000 |
| IHC | 1/100-1/500 |
| FCM | 1/10-1/50 |
![]() |
HIST1H2AB Antibody (N-term) (Cat. #P31212) western blot analysis in K562,CEM,MDA-MB453,NCI-H460,MDA-MB231 cell line lysates (35ug/lane).This demonstrates the HIST1H2AB antibody detected the HIST1H2AB protein (arrow). |
![]() |
HIST1H2AB Antibody (N-term) (Cat. #P31212) flow cytometric analysis of K562 cells (right histogram) compared to a negative control cell (left histogram).FITC-conjugated donkey-anti-rabbit secondary antibodies were used for the analysis. |
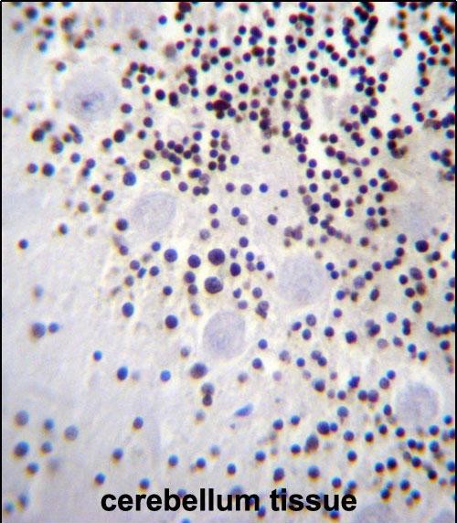
![]() |
HIST1H2AB Antibody (N-term) (Cat. #P31212)immunohistochemistry analysis in formalin fixed and paraffin embedded human cerebellum tissue followed by peroxidase conjugation of the secondary antibody and DAB staining.This data demonstrates the use of HIST1H2AB Antibody (N-term) for immunohistochemistry. Clinical relevance has not been evaluated. |
本公司的所有产品仅用于科学研究或者工业应用等非医疗目的,不可用于人类或动物的临床诊断或治疗,非药用,非食用。
暂无评论
本公司的所有产品仅用于科学研究或者工业应用等非医疗目的,不可用于人类或动物的临床诊断或治疗,非药用,非食用。
中文



发表回复