别名:Histone H1.0; Histone H1(0); Histone H1.0; N-terminally processed; H1F0; H1FV; Histone H5应用:WB,IHC,ICC
反应种属:Human,Mouse,Rat
规格:50μl/100μl
| Description |
|---|
| Histone H1.0 is a lysine rich member of the H1 family of linker histones. The H1 family of proteins interacts with linker DNA between nucleosomes and mediates compaction into higher order chromatin. Histones H1 are necessary for the condensation of nucleosome chains into higher-order structures. The H1F0 histones are found in cells that are in terminal stages of differentiation or that have low rates of cell division. |
| Specification | |
|---|---|
| Aliases | Histone H1.0; Histone H1(0); Histone H1.0; N-terminally processed; H1F0; H1FV; Histone H5 |
| Entrez GeneID | 3005 |
| Swissprot | P07305 |
| WB Predicted band size | Calculated MW: 21 kDa; Observed MW: 28 kDa |
| Host/Isotype | Rabbit IgG |
| Storage | Store at 4°C short term. Aliquot and store at -20°C long term. Avoid freeze/thaw cycles. |
| Species Reactivity | Human,Mouse,Rat |
| Immunogen | A synthesized peptide derived from human Histone H1.0 |
| Formulation | Rabbit IgG in phosphate buffered saline , pH 7.4, 150mM NaCl, 0.02% sodium azide and 50% glycerol. |
| Application | |
|---|---|
| WB | 1/500-1/1000 |
| IHC | 1/50-1/100 |
| ICC | 1/50-1/200 |
![]() |
Western blot analysis of Histone H1.0 in Human kidney lysates using Histone H1.0 antibody. |
![]() |
Immunofluorescence analysis of Histone H1.0 in HepG2 using Histone H1.0 antibody. |
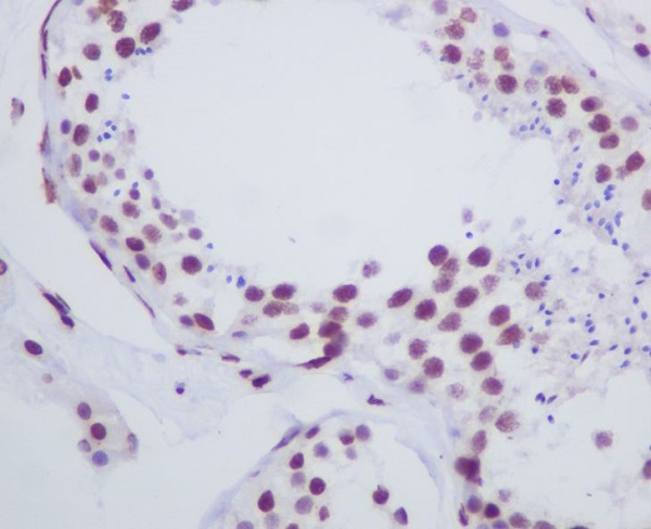
![]() |
Immunohistochemistry analysis of paraffin-embedded Human testis using Histone H1.0 antibody.High-pressure and temperature Sodium Citrate pH 6.0 was used for antigen retrieval. |
本公司的所有产品仅用于科学研究或者工业应用等非医疗目的,不可用于人类或动物的临床诊断或治疗,非药用,非食用。
暂无评论
本公司的所有产品仅用于科学研究或者工业应用等非医疗目的,不可用于人类或动物的临床诊断或治疗,非药用,非食用。
中文



发表回复