别名:HIST1H2AB; Histone H2A type 1-B/E; Histone H2A.2; Histone H2A/a; Histone H2A/m; H2AFM应用:WB,IHC,ICC
反应种属:Human,Mouse,Rat
规格:50μl/100μl
| Description |
|---|
| Core component of nucleosome. Nucleosomes wrap and compact DNA into chromatin, limiting DNA accessibility to the cellular machineries which require DNA as a template. Histones thereby play a central role in transcription regulation, DNA repair, DNA replication and chromosomal stability. DNA accessibility is regulated via a complex set of post-translational modifications of histones, also called histone code, and nucleosome remodeling. |
| Specification | |
|---|---|
| Aliases | HIST1H2AB; Histone H2A type 1-B/E; Histone H2A.2; Histone H2A/a; Histone H2A/m; H2AFM |
| Entrez GeneID | 3012 |
| Swissprot | P04908 |
| WB Predicted band size | Calculated MW: 14 kDa; Observed MW: 14 kDa |
| Host/Isotype | Rabbit IgG |
| Storage | Store at 4°C short term. Aliquot and store at -20°C long term. Avoid freeze/thaw cycles. |
| Species Reactivity | Human,Mouse,Rat |
| Immunogen | A synthesized peptide derived from human Histone H2A.Z |
| Formulation | Rabbit IgG in phosphate buffered saline , pH 7.4, 150mM NaCl, 0.02% sodium azide and 50% glycerol. |
| Application | |
|---|---|
| WB | 1/500-1/1000 |
| IHC | 1/50-1/100 |
| ICC | 1/50-1/200 |
![]() |
Western blot analysis of Histone H2A.Z in(1)Neuro2a lysates;(2)HeLa lysates using Histone H2A antibody. |
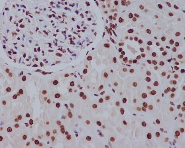
![]() |
Immunohistochemistry analysis of paraffin-embedded Human kidney using Histone H2A.Z antibody.High-pressure and temperature Sodium Citrate pH 6.0 was used for antigen retrieval. |
本公司的所有产品仅用于科学研究或者工业应用等非医疗目的,不可用于人类或动物的临床诊断或治疗,非药用,非食用。
暂无评论
本公司的所有产品仅用于科学研究或者工业应用等非医疗目的,不可用于人类或动物的临床诊断或治疗,非药用,非食用。
中文


发表回复