别名:HMG4, HMG-4, HMG2A, HMG-2a应用:WB,IHC
反应种属:Human, Mouse
规格:50μl/100μl
| Description |
|---|
| High-mobility group protein B3 is a protein that in humans is encoded by the HMGB3 gene. HMGB3 belongs to the high mobility group (HMG) protein superfamily. Like HMG1 and HMG2, HMGB3 contains DNA-binding HMG box domains and is classified into the HMG box subfamily. Members of the HMG box subfamily are thought to play a fundamental role in DNA replication, nucleosome assembly and transcription. |
| Specification | |
|---|---|
| Aliases | HMG4, HMG-4, HMG2A, HMG-2a |
| Swissprot | O15347 |
| WB Predicted band size | 23 kDa |
| Host/Isotype | Rabbit IgG |
| Storage | Store at 4°C short term. Aliquot and store at -20°C long term. Avoid freeze/thaw cycles. |
| Species Reactivity | Human, Mouse |
| Immunogen | Synthetic peptide of human HMGB3 |
| Formulation | pH7.4 PBS, 0.05% NaN3, 40% Glycerol |
| Application | |
|---|---|
| WB | 1/500-1/2000 |
| IHC | 1/20-1/100 |
| ELISA | 1/1000-1/10000 |
![]() |
Gel: 10%SDS-PAGE, Lysate: 30 μg, Lane 1-4: 293T cells, hela cells, mouse lung tissue, Mouse brain tissue, Primary antibody: P04030(HMGB3 Antibody) at dilution 1/400, Secondary antibody: Goat anti rabbit IgG at 1/8000 dilution, Exposure time: 1.5 minutes |
![]() |
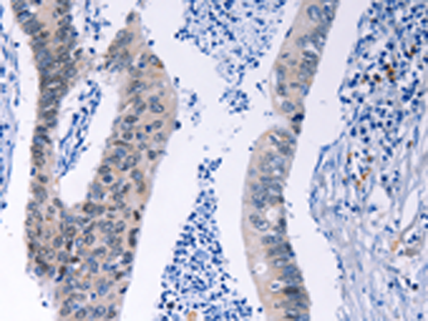
The image is immunohistochemistry of paraffin-embedded Human colon cancer tissue using P04030(HMGB3 Antibody) at dilution 1/20. (Original magnification: ×200) |
![]() |
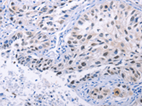
The image is immunohistochemistry of paraffin-embedded Human lung cancer tissue using P04030(HMGB3 Antibody) at dilution 1/20. (Original magnification: ×200) |
本公司的所有产品仅用于科学研究或者工业应用等非医疗目的,不可用于人类或动物的临床诊断或治疗,非药用,非食用。
暂无评论
本公司的所有产品仅用于科学研究或者工业应用等非医疗目的,不可用于人类或动物的临床诊断或治疗,非药用,非食用。
中文



发表回复