别名:Non-histone chromosomal protein HMG-14, High mobility group nucleosome-binding domain-containing protein 1, HMGN1, HMG14应用:WB,IHC
反应种属:Human
规格:50μl/100μl
| Description |
|---|
| Chromosomal protein HMG14 and its close analog HMG17 (MIM 163910) bind to the inner side of the nucleosomal DNA, potentially altering the interaction between the DNA and the histone octamer. The 2 proteins may be involved in the process that maintains transcribable genes in a unique chromatin conformation. Their ubiquitous distribution and relative abundance, as well as the high evolutionary conservation of the DNA-binding domain of the HMG14 family of proteins, suggest that they may be involved in an important cellular function. |
| Specification | |
|---|---|
| Aliases | Non-histone chromosomal protein HMG-14, High mobility group nucleosome-binding domain-containing protein 1, HMGN1, HMG14 |
| Entrez GeneID | 3150 |
| Swissprot | P05114 |
| WB Predicted band size | 10.7kDa |
| Host/Isotype | Rabbit IgG |
| Storage | Store at 4°C short term. Aliquot and store at -20°C long term. Avoid freeze/thaw cycles. |
| Species Reactivity | Human |
| Immunogen | This HMGN1 antibody is generated from rabbits immunized with a KLH conjugated synthetic peptide between 1-30 amino acids from the N-terminal region of human HMGN1. |
| Formulation | Purified polyclonal antibody supplied in PBS with 0.05% sodium azide. This antibody is purified through a protein A column, followed by peptide affinity purification. |
| Application | |
|---|---|
| WB | 1/1000 |
| IHC | 1/100-1/500 |
![]() |
HMGN1 Antibody (N-term) (Cat. #P31416) western blot analysis in HepG2 cell line lysates (35ug/lane).This demonstrates the HMGN1 antibody detected the HMGN1 protein (arrow). |
![]() |
Western blot analysis of HMGN1 (arrow) using rabbit polyclonal HMGN1 Antibody (N-term) (Cat. #P31416). 293 cell lysates (2 ug/lane) either nontransfected (Lane 1) or transiently transfected (Lane 2) with the HMGN1 gene. |
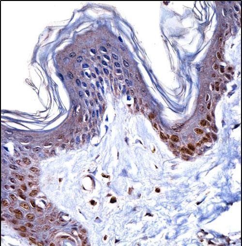
![]() |
HMGN1 Antibody (N-term) (P31416)immunohistochemistry analysis in formalin fixed and paraffin embedded human skin tissue followed by peroxidase conjugation of the secondary antibody and DAB staining.This data demonstrates the use of HMGN1 Antibody (N-term) for immunohistochemistry. Clinical relevance has not been evaluated. |
本公司的所有产品仅用于科学研究或者工业应用等非医疗目的,不可用于人类或动物的临床诊断或治疗,非药用,非食用。
暂无评论
本公司的所有产品仅用于科学研究或者工业应用等非医疗目的,不可用于人类或动物的临床诊断或治疗,非药用,非食用。
中文



发表回复