别名:FJHN; HNF2; LFB3; TCF2; HPC11; LF-B3; MODY5; TCF-2; VHNF1; HNF-1B; HNF1beta应用:IHC
反应种属:Human, Mouse, Rat
规格:50μl/100μl
| Description |
|---|
| This gene encodes a member of the homeodomain-containing superfamily of transcription factors. The protein binds to DNA as either a homodimer, or a heterodimer with the related protein hepatocyte nuclear factor 1-alpha. The gene has been shown to function in nephron development, and regulates development of the embryonic pancreas. Mutations in this gene result in renal cysts and diabetes syndrome and noninsulin-dependent diabetes mellitus, and expression of this gene is altered in some types of cancer. Multiple transcript variants encoding different isoforms have been found for this gene. |
| Specification | |
|---|---|
| Aliases | FJHN; HNF2; LFB3; TCF2; HPC11; LF-B3; MODY5; TCF-2; VHNF1; HNF-1B; HNF1beta |
| Swissprot | P35680 |
| Host/Isotype | Rabbit IgG |
| Storage | Store at 4°C short term. Aliquot and store at -20°C long term. Avoid freeze/thaw cycles. |
| Species Reactivity | Human, Mouse, Rat |
| Immunogen | Synthetic peptide of human HNF1B |
| Formulation | pH7.4 PBS, 0.05% NaN3, 40% Glycerol |
| Application | |
|---|---|
| IHC | 1/100-1/300 |
| ELISA | 1/2000-1/10000 |
![]() |
The image is immunohistochemistry of paraffin-embedded Human colon cancer tissue using P04219(HNF1B Antibody) at dilution 1/80. (Original magnification: ×200) |
![]() |
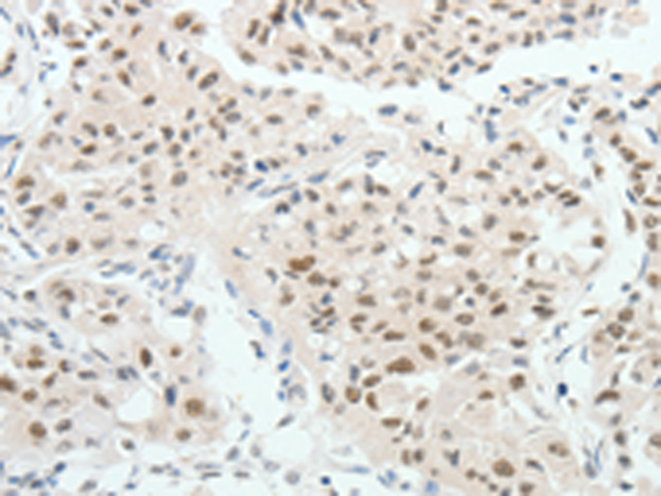
The image is immunohistochemistry of paraffin-embedded Human lung cancer tissue using P04219(HNF1B Antibody) at dilution 1/80. (Original magnification: ×200) |
本公司的所有产品仅用于科学研究或者工业应用等非医疗目的,不可用于人类或动物的临床诊断或治疗,非药用,非食用。
暂无评论
本公司的所有产品仅用于科学研究或者工业应用等非医疗目的,不可用于人类或动物的临床诊断或治疗,非药用,非食用。
中文


发表回复