别名:FBRNP; HNRPA3; D10S102; 2610510D13Rik应用:WB,IHC
反应种属:Human, Mouse, Rat
规格:50μl/100μl
| Description |
|---|
| Plays a role in cytoplasmic trafficking of RNA. Binds to the cis-acting response element, A2RE. May be involved in pre-mRNA splicing. |
| Specification | |
|---|---|
| Aliases | FBRNP; HNRPA3; D10S102; 2610510D13Rik |
| Swissprot | P51991 |
| WB Predicted band size | 40 kDa |
| Host/Isotype | Rabbit IgG |
| Storage | Store at 4°C short term. Aliquot and store at -20°C long term. Avoid freeze/thaw cycles. |
| Species Reactivity | Human, Mouse, Rat |
| Immunogen | Synthetic peptide of human HNRNPA3 |
| Formulation | pH7.4 PBS, 0.05% NaN3, 40% Glycerol |
| Application | |
|---|---|
| WB | 1/500-1/2000 |
| IHC | 1/50-1/300 |
| ELISA | 1/5000-1/10000 |
![]() |
Gel: 8%SDS-PAGE, Lysate: 40 μg, Lane 1-2: A172 and LO2 cell lysates, Primary antibody: P13585(HNRNPA3 Antibody) at dilution 1/500, Secondary antibody: Goat anti rabbit IgG at 1/8000 dilution, Exposure time: 10 seconds |
![]() |
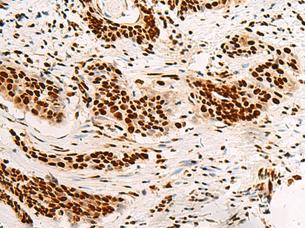
The image is immunohistochemistry of paraffin-embedded Human esophagus cancer tissue using P13585(HNRNPA3 Antibody) at dilution 1/45. (Original magnification: ×200) |
![]() |
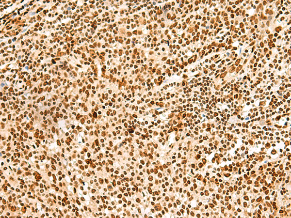
The image is immunohistochemistry of paraffin-embedded Human tonsil tissue using P13585(HNRNPA3 Antibody) at dilution 1/45. (Original magnification: ×200) |
本公司的所有产品仅用于科学研究或者工业应用等非医疗目的,不可用于人类或动物的临床诊断或治疗,非药用,非食用。
暂无评论
本公司的所有产品仅用于科学研究或者工业应用等非医疗目的,不可用于人类或动物的临床诊断或治疗,非药用,非食用。
中文



发表回复