别名:HNRPR; hnRNP-R应用:IHC
反应种属:Human
规格:50μl/100μl
| Description |
|---|
| This gene encodes an RNA-binding protein that is a member of the spliceosome C complex, which functions in pre-mRNA processing and transport. The encoded protein also promotes transcription at the c-fos gene. Alternative splicing results in multiple transcript variants. There are pseudogenes for this gene on chromosomes 4, 11, and 10. |
| Specification | |
|---|---|
| Aliases | HNRPR; hnRNP-R |
| Swissprot | O43390 |
| Host/Isotype | Rabbit IgG |
| Storage | Store at 4°C short term. Aliquot and store at -20°C long term. Avoid freeze/thaw cycles. |
| Species Reactivity | Human |
| Immunogen | Synthetic peptide of human HNRNPR |
| Formulation | pH7.4 PBS, 0.05% NaN3, 40% Glycerol |
| Application | |
|---|---|
| IHC | 1/25-1/100 |
| ELISA | 1/5000-1/10000 |
![]() |
The image is immunohistochemistry of paraffin-embedded Human gastric cancer tissue using P13159(HNRNPR Antibody) at dilution 1/20. (Original magnification: ×200) |
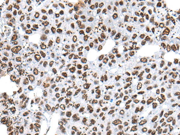
![]() |
The image is immunohistochemistry of paraffin-embedded Human liver cancer tissue using P13159(HNRNPR Antibody) at dilution 1/20. (Original magnification: ×200) |
本公司的所有产品仅用于科学研究或者工业应用等非医疗目的,不可用于人类或动物的临床诊断或治疗,非药用,非食用。
暂无评论
本公司的所有产品仅用于科学研究或者工业应用等非医疗目的,不可用于人类或动物的临床诊断或治疗,非药用,非食用。
中文


发表回复