别名:E1BAP5; E1B-AP5; HNRPUL1应用:WB,IHC
反应种属:Human, Mouse
规格:50μl/100μl
| Description |
|---|
| This gene encodes a nuclear RNA-binding protein of the heterogeneous nuclear ribonucleoprotein (hnRNP) family. This protein binds specifically to adenovirus early-1B-55kDa oncoprotein. It may play an important role in nucleocytoplasmic RNA transport, and its function is modulated by early-1B-55kDa in adenovirus-infected cells. |
| Specification | |
|---|---|
| Aliases | E1BAP5; E1B-AP5; HNRPUL1 |
| Swissprot | Q9BUJ2 |
| WB Predicted band size | 96 kDa |
| Host/Isotype | Rabbit IgG |
| Storage | Store at 4°C short term. Aliquot and store at -20°C long term. Avoid freeze/thaw cycles. |
| Species Reactivity | Human, Mouse |
| Immunogen | Synthetic peptide of human HNRNPUL1 |
| Formulation | pH7.4 PBS, 0.05% NaN3, 40% Glycerol |
| Application | |
|---|---|
| WB | 1/200-1/1000 |
| IHC | 1/30-1/150 |
| ELISA | 1/5000-1/10000 |
![]() |
Gel: 6%SDS-PAGE, Lysate: 40 μg, Lane 1-3: Hela, 231 and Raji cell lysates, Primary antibody: P13587(HNRNPUL1 Antibody) at dilution 1/200, Secondary antibody: Goat anti rabbit IgG at 1/8000 dilution, Exposure time: 20 seconds |
![]() |
The image is immunohistochemistry of paraffin-embedded Human tonsil tissue using P13587(HNRNPUL1 Antibody) at dilution 1/20. (Original magnification: ×200) |
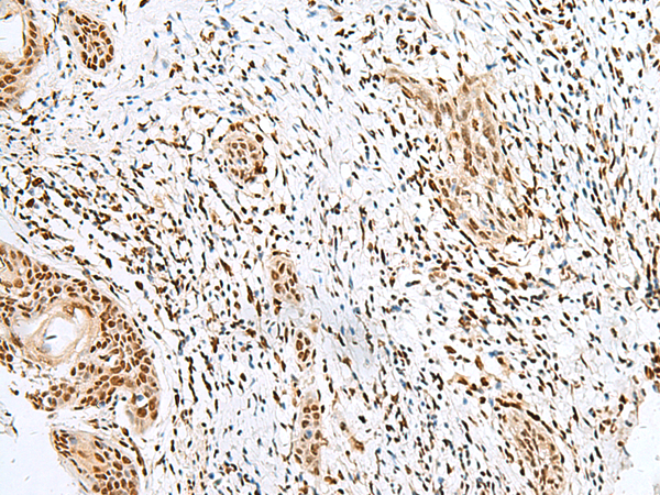
![]() |
The image is immunohistochemistry of paraffin-embedded Human esophagus cancer tissue using P13587(HNRNPUL1 Antibody) at dilution 1/20. (Original magnification: ×200) |
本公司的所有产品仅用于科学研究或者工业应用等非医疗目的,不可用于人类或动物的临床诊断或治疗,非药用,非食用。
暂无评论
本公司的所有产品仅用于科学研究或者工业应用等非医疗目的,不可用于人类或动物的临床诊断或治疗,非药用,非食用。
中文



发表回复