别名:CT46.2应用:IHC
反应种属:Human
规格:50μl/100μl
| Description |
|---|
| Essential for synapsis surveillance during meiotic prophase via the recruitment of ATR activity. Plays a key role in the male mid-pachytene checkpoint and the female meiotic prophase checkpoint: required for efficient build-up of ATR activity on unsynapsed chromosome regions, a process believed to form the basis of meiotic silencing of unsynapsed chromatin (MSUC) and meiotic prophase quality control in both sexes. Required for the DNA double-strand break-independent, BRCA1-dependent activation of ATR on the sex chromosomes that is essential for normal sex body formation (By similarity). |
| Specification | |
|---|---|
| Aliases | CT46.2 |
| Swissprot | Q8N7B1 |
| Host/Isotype | Rabbit IgG |
| Storage | Store at 4°C short term. Aliquot and store at -20°C long term. Avoid freeze/thaw cycles. |
| Species Reactivity | Human |
| Immunogen | Fusion protein of human HORMAD2 |
| Formulation | pH7.4 PBS, 0.05% NaN3, 40% Glycerol |
| Application | |
|---|---|
| IHC | 1/50-1/100 |
| ELISA | 1/5000-1/10000 |
![]() |
The image is immunohistochemistry of paraffin-embedded Human thyroid cancer tissue using P03361(HORMAD2 Antibody) at dilution 1/35. (Original magnification: ×200) |
![]() |
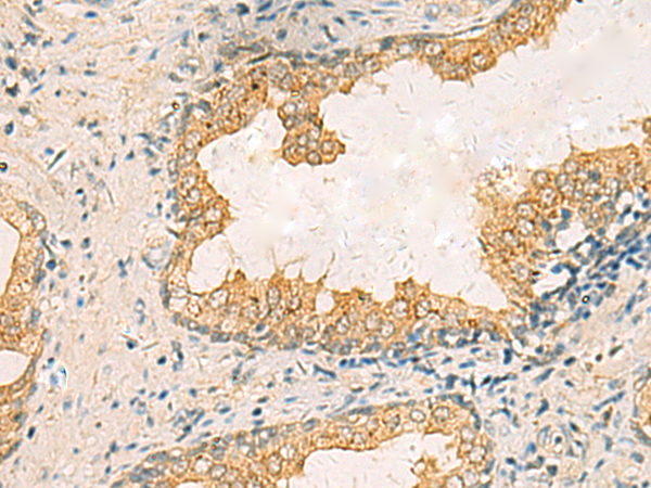
The image is immunohistochemistry of paraffin-embedded Human prostate cancer tissue using P03361(HORMAD2 Antibody) at dilution 1/35. (Original magnification: ×200) |
本公司的所有产品仅用于科学研究或者工业应用等非医疗目的,不可用于人类或动物的临床诊断或治疗,非药用,非食用。
暂无评论
本公司的所有产品仅用于科学研究或者工业应用等非医疗目的,不可用于人类或动物的临床诊断或治疗,非药用,非食用。
中文


发表回复