别名:LIPE; Hormone-sensitive lipase; HSL应用:WB,IHC
反应种属:Human,Mouse,Rat
规格:50μl/100μl
| Description |
|---|
| hormone sensitive lipase is a lipolytic enzyme of the ‘GDXG’ family. Plays a rate limiting step in triglyceride lipolysis. In adipose tissue and heart, it primarily hydrolyzes stored triglycerides to free fatty acids, while in steroidogenic tissues, it principally converts cholesteryl esters to free cholesterol for steroid hormone production. |
| Specification | |
|---|---|
| Aliases | LIPE; Hormone-sensitive lipase; HSL |
| Entrez GeneID | 3991 |
| Swissprot | Q05469 |
| WB Predicted band size | Calculated MW: 117 kDa; Observed MW: 120 kDa |
| Host/Isotype | Rabbit IgG |
| Storage | Store at 4°C short term. Aliquot and store at -20°C long term. Avoid freeze/thaw cycles. |
| Species Reactivity | Human,Mouse,Rat |
| Immunogen | The antiserum was produced against synthesized peptide derived from human HSL. AA range:518-567 |
| Formulation | Liquid in PBS containing 50% glycerol, 0.5% BSA and 0.02% sodium azide, pH 7.3. |
| Application | |
|---|---|
| WB | 1/500-1/1000 |
| IHC | 1/50-1/100 |
| ELISA | 1/10000 |
![]() |
Western blot analysis of Hormone Sensitive Lipase in various lysates using Hormone Sensitive Lipase antibody. |
![]() |
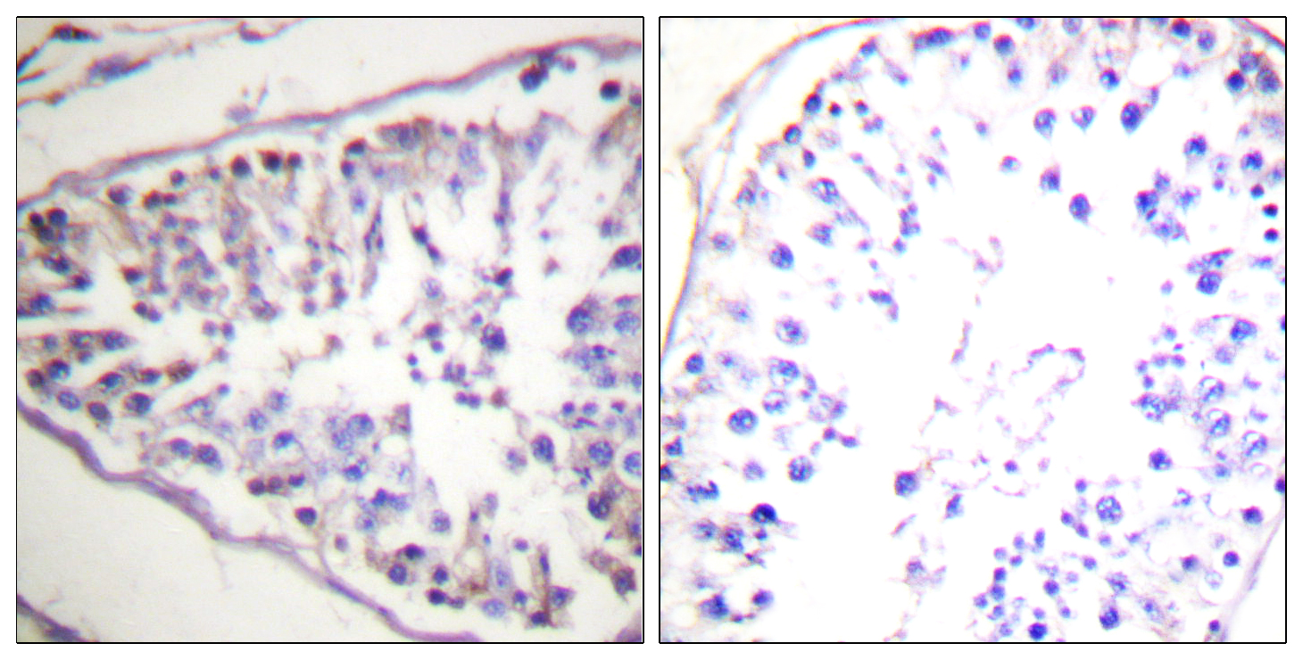
Immunohistochemistry analysis of paraffin-embedded Human tonsil tissue, using HSL antibody.High-pressure and temperature Sodium Citrate pH 6.0 was used for antigen retrieval. Sample with blocking peptide on the right. |
![]() |
Western blot analysis of Hormone Sensitive Lipase in COLO and MCF-7 lysates using HSL antibody. The lane on the right is blocked with the synthesized peptide. |
本公司的所有产品仅用于科学研究或者工业应用等非医疗目的,不可用于人类或动物的临床诊断或治疗,非药用,非食用。
暂无评论
本公司的所有产品仅用于科学研究或者工业应用等非医疗目的,不可用于人类或动物的临床诊断或治疗,非药用,非食用。
中文



发表回复