别名:HOX4; HOX4D; HOX4E; Hox-4.4应用:WB,IHC
反应种属:Human, Mouse
规格:50μl/100μl
| Description |
|---|
| This gene is a member of the Abd-B homeobox family and encodes a protein with a homeobox DNA-binding domain. It is included in a cluster of homeobox D genes located on chromosome 2. The encoded nuclear protein functions as a sequence-specific transcription factor that is expressed in the developing limb buds and is involved in differentiation and limb development. Mutations in this gene have been associated with Wilm’s tumor and congenital vertical talus (also known as “rocker-bottom foot” deformity or congenital convex pes valgus) and/or a foot deformity resembling that seen in Charcot-Marie-Tooth disease. |
| Specification | |
|---|---|
| Aliases | HOX4; HOX4D; HOX4E; Hox-4.4 |
| Swissprot | P28358 |
| WB Predicted band size | 38 kDa |
| Host/Isotype | Rabbit IgG |
| Storage | Store at 4°C short term. Aliquot and store at -20°C long term. Avoid freeze/thaw cycles. |
| Species Reactivity | Human, Mouse |
| Immunogen | Synthetic peptide of human HOXD10 |
| Formulation | pH7.4 PBS, 0.05% NaN3, 40% Glycerol |
| Application | |
|---|---|
| WB | 1/500-1/2000 |
| IHC | 1/50-1/100 |
| ELISA | 1/5000-1/10000 |
![]() |
Gel: 8%SDS-PAGE, Lysate: 40 μg, Lane: 293T cell lysate, Primary antibody: P05871(HOXD10 Antibody) at dilution 1/900, Secondary antibody: Goat anti rabbit IgG at 1/5000 dilution, Exposure time: 10 seconds |
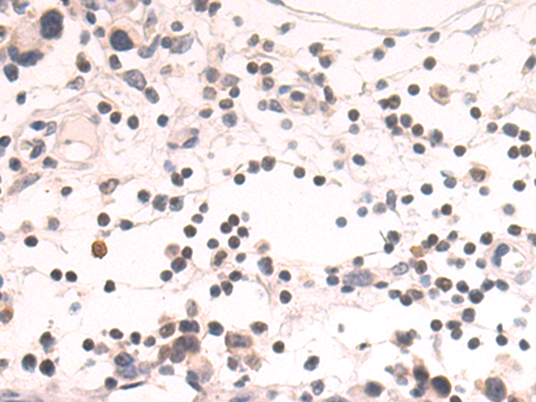
![]() |
The image is immunohistochemistry of paraffin-embedded Human gastric cancer tissue using P05871(HOXD10 Antibody) at dilution 1/50. (Original magnification: ×200) |
本公司的所有产品仅用于科学研究或者工业应用等非医疗目的,不可用于人类或动物的临床诊断或治疗,非药用,非食用。
暂无评论
本公司的所有产品仅用于科学研究或者工业应用等非医疗目的,不可用于人类或动物的临床诊断或治疗,非药用,非食用。
中文


发表回复