别名:HH3R; GPCR97应用:IHC
反应种属:Human
规格:50μl/100μl
| Description |
|---|
| Histamine is a ubiquitous messenger molecule released from mast cells, enterochromaffin-like cells, and neurons. Its various actions are mediated by histamine receptors H1, H2, H3 and H4. This gene encodes one of the histamine receptors (H3) which belongs to the family 1 of G protein-coupled receptors. It is an integral membrane protein and can regulate neurotransmitter release. This receptor can also increase voltage-dependent calcium current in smooth muscles and innervates the blood vessels and the heart in cardiovascular system. |
| Specification | |
|---|---|
| Aliases | HH3R; GPCR97 |
| Swissprot | Q9Y5N1 |
| Host/Isotype | Rabbit IgG |
| Storage | Store at 4°C short term. Aliquot and store at -20°C long term. Avoid freeze/thaw cycles. |
| Species Reactivity | Human |
| Immunogen | Synthetic peptide of human HRH3 |
| Formulation | pH7.4 PBS, 0.05% NaN3, 40% Glycerol |
| Application | |
|---|---|
| IHC | 1/50-1/200 |
| ELISA | 1/2000-1/5000 |
![]() |
The image is immunohistochemistry of paraffin-embedded Human gasrtic cancer tissue using P11829(HRH3 Antibody) at dilution 1/40. (Original magnification: ×200) |
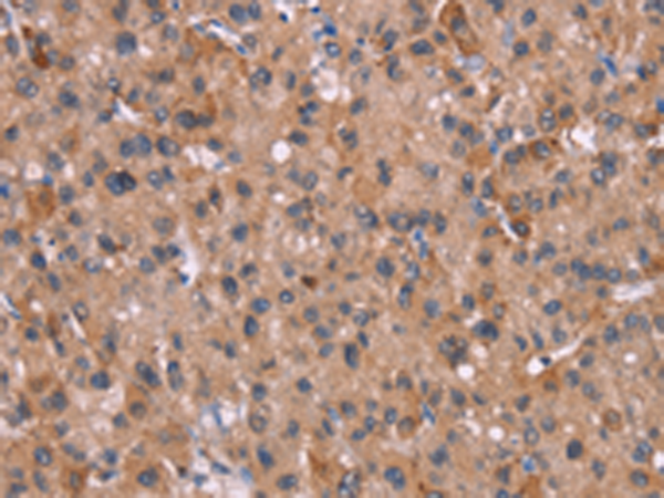
![]() |
The image is immunohistochemistry of paraffin-embedded Human liver cancer tissue using P11829(HRH3 Antibody) at dilution 1/40. (Original magnification: ×200) |
本公司的所有产品仅用于科学研究或者工业应用等非医疗目的,不可用于人类或动物的临床诊断或治疗,非药用,非食用。
暂无评论
本公司的所有产品仅用于科学研究或者工业应用等非医疗目的,不可用于人类或动物的临床诊断或治疗,非药用,非食用。
中文


发表回复