别名:HSD17; EDHB17; EDH17B2; SDR28C1应用:WB,IHC
反应种属:Human
规格:50μl/100μl
| Description |
|---|
| Hydroxysteroid (17-beta) dehydrogenase 1 catalyzes the final step in the formation of estradiol and testosterone from estrone and androstenedione, respectively. Ovarian granulosa cells and breast tissue both express HSD17B1. Other tissues that express HSD17B1 include testis, placenta, uterus, prostate and adipose tissue. HSD17B1 functions as a homodimer and prefers NADP(H) over NAD(H) for oxidation and reduction. The gene encoding human HSD17B1 maps to chromosome 17q12-q21. The importance of HSD17B1 to estradiol production suggests the specific inhibition of HSD17B1 may aid in breast cancer therapy. |
| Specification | |
|---|---|
| Aliases | HSD17; EDHB17; EDH17B2; SDR28C1 |
| Swissprot | P14061 |
| WB Predicted band size | 35 kDa |
| Host/Isotype | Rabbit IgG |
| Storage | Store at 4°C short term. Aliquot and store at -20°C long term. Avoid freeze/thaw cycles. |
| Species Reactivity | Human |
| Immunogen | Synthetic peptide of human HSD17B1 |
| Formulation | pH7.4 PBS, 0.05% NaN3, 40% Glycerol |
| Application | |
|---|---|
| WB | 1/500-1/2000 |
| IHC | 1/50-1/200 |
| ELISA | 1/2000-1/5000 |
![]() |
Gel: 8%SDS-PAGE, Lysate: 40 μg, Lane: Human placenta tissue, Primary antibody: P04948(HSD17B1 Antibody) at dilution 1/700, Secondary antibody: Goat anti rabbit IgG at 1/8000 dilution, Exposure time: 1 second |
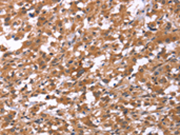
![]() |
The image is immunohistochemistry of paraffin-embedded Human thyroid cancer tissue using P04948(HSD17B1 Antibody) at dilution 1/40. (Original magnification: ×200) |
![]() |
The image is immunohistochemistry of paraffin-embedded Human brain tissue using P04948(HSD17B1 Antibody) at dilution 1/40. (Original magnification: ×200) |
本公司的所有产品仅用于科学研究或者工业应用等非医疗目的,不可用于人类或动物的临床诊断或治疗,非药用,非食用。
暂无评论
本公司的所有产品仅用于科学研究或者工业应用等非医疗目的,不可用于人类或动物的临床诊断或治疗,非药用,非食用。
中文



发表回复