别名:ALX; HSH2应用:IHC
反应种属:Human
规格:50μl/100μl
| Description |
|---|
| T-cell activation requires 2 signals: recognition of antigen by the T-cell receptor (see TCR; MIM 186880) and a costimulatory signal provided primarily by CD28 (MIM 186760) in naive T cells. HSH2 is a target of both of these signaling pathways (Greene et al., 2003 [PubMed 12960172]). |
| Specification | |
|---|---|
| Aliases | ALX; HSH2 |
| Swissprot | Q96JZ2 |
| Host/Isotype | Rabbit IgG |
| Storage | Store at 4°C short term. Aliquot and store at -20°C long term. Avoid freeze/thaw cycles. |
| Species Reactivity | Human |
| Immunogen | Synthetic peptide of human HSH2D |
| Formulation | pH7.4 PBS, 0.05% NaN3, 40% Glycerol |
| Application | |
|---|---|
| IHC | 1/20-1/100 |
| ELISA | 1/5000-1/10000 |
![]() |
The image is immunohistochemistry of paraffin-embedded Human tonsil tissue using P13598(HSH2D Antibody) at dilution 1/20. (Original magnification: ×200) |
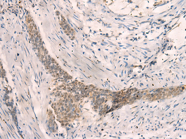
![]() |
The image is immunohistochemistry of paraffin-embedded Human esophagus cancer tissue using P13598(HSH2D Antibody) at dilution 1/20. (Original magnification: ×200) |
本公司的所有产品仅用于科学研究或者工业应用等非医疗目的,不可用于人类或动物的临床诊断或治疗,非药用,非食用。
暂无评论
本公司的所有产品仅用于科学研究或者工业应用等非医疗目的,不可用于人类或动物的临床诊断或治疗,非药用,非食用。
中文


发表回复